ファーストビュー
ceramic

審美歯科セラミック(補綴治療)

精密審美セラミック|LOTUS DENTAL CLINIC東京

 

セラミック1

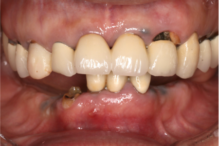
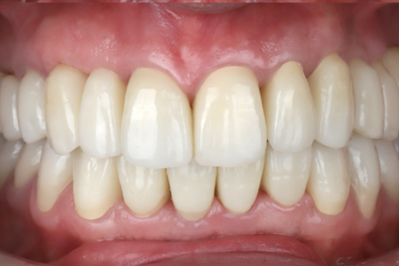
症例画像 症例画像
治療名
上顎
顎堤増大術
クラウンレングスニング
ジルコニアブリッジ、ジルコニアクラウン
ジルコニアセラミックブリッジ

下顎
義歯
マグネットアタッチメント
患者様
60代 女性
執刀医
Dr.矢野
治療期間
24ヶ月
治療費
¥3,200,000
リスク
外科治療に伴う術後疼痛、合併症のリスク
下顎義歯設計による咬合時の違和感

セラミック2

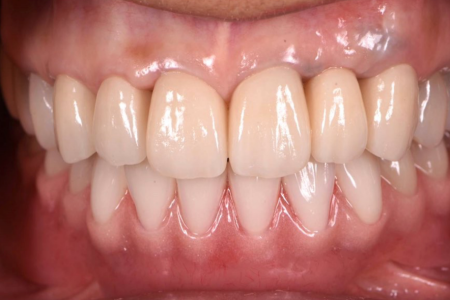
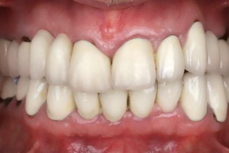
症例画像 症例画像
治療名
全顎治療(咬合治療、審美治療)
インプラント治療2本
ジルコニアクラウン 14本
ジルコニアセラミッククラウン 12本
合計28本の治療
患者様
50代 男性
執刀医
Dr.矢野
治療内容
全顎的な不適合補綴装置の再治療を行なった症例。マージン部のカリエスが目立ち、オーバーカントゥア、ロングスパンブリッジによるポンティック部の不良な清掃性により、セルフケアが困難な状態であった。二次カリエスにより保存不可能な歯も存在した。中心位で顎位を記録し、全顎的な診断用ワックスアップを製作し、プロビジョナルレストレーションに置換したのち、インプラント外科、クラウンレングスニング、軟組織移植による顎堤増大術を行った。ブリッジ設計を用いて、インプラントの埋入本数は最小限に抑えた治療計画で治療を進めた。
治療期間
11ヶ月
治療費
¥5,260,000
リスク
インプラント手術と造骨手術を行ったため、それに伴う術後の合併症の可能性と、術後疼痛などの症状
深部カリエスの際の露髄のリスク、術後一過性の知覚過敏

1. 審美歯科セラミック治療は“見た目を整えるだけ”ではありません

1. 審美歯科セラミック治療は“見た目を整えるだけ”ではありません

審美歯科セラミック治療というと、
「歯を白くするための治療」
「見た目を綺麗に整える治療」
というイメージを持たれがちです。
もちろん、審美治療によって口元の印象は大きく変わります。
しかし、本来の審美歯科セラミック治療が目指すものは、単なる美しさの回復ではありません。
それは、美しさと機能性、そして長期的な健康を同時に満たす“医療としての審美治療”です。
LOTUS DENTAL CLINIC 東京(ロータスデンタルクリニック東京)では、審美治療を「笑顔の美しさを整えるだけの治療」とは捉えていません。
“噛む力・歯肉の健康・噛み合わせ・口元全体の調和”まで含めて診ることで、将来にわたり口腔の健康を守りながら、美しさを長く維持できる状態をつくることを重視しています。

審美治療が選ばれる理由 ─「印象」と「機能」は深くつながっています」

人の第一印象の大部分は「表情」から生まれると言われています。
その中心にあるのが口元です。

  • 歯の色が気になる
  • 前歯の形が不揃い
  • すきっ歯や傾きが気になる
  • 古い銀歯が目立つ
  • 歯ぐきの黒ずみが気になる

こうした悩みは、思っている以上に日常に影響します。

話すときに口元を隠してしまう。
笑うのをためらってしまう。
写真で歯を見せられない。
審美治療は、こうした“心の負担”を軽減し、自然な笑顔を取り戻すための大切な治療です。
しかし同時に、見た目だけを優先してしまうと、「短期間で欠ける」「噛むと違和感がある」「歯ぐきが腫れる」など機能面にトラブルが生まれることが少なくありません。
だからこそLOTUS DENTAL CLINIC 東京(ロータスデンタルクリニック東京)は、審美治療を “機能を整える治療の延長線上にある医療” として扱っています。

美しさ・噛み合わせ・健康はセットで整えるべき理由

たとえば、前歯にセラミックを装着したとします。
見た目だけを綺麗に仕上げることは可能ですが、噛み合わせとの調和が崩れれば長持ちしません。

  • 割れやすくなる
  • 外れやすくなる
  • 歯ぐきが炎症を起こしやすくなる
  • 顎関節に負担がかかる
  • 他の歯の寿命を縮める

審美治療は「美しく見えるか」だけではなく、どれだけ長く機能し続けるか も重要です。
LOTUS DENTAL CLINIC 東京(ロータスデンタルクリニック東京)では、

  • 歯の形態
  • 長さ
  • 歯と歯の比率
  • 歯肉ライン
  • 噛み合わせのバランス
  • 顔貌との調和

これらを総合的に評価し、“見た目の美しさ × 噛む力 × 組織の健康” を両立した総合審美治療(Aesthetic & Functional Dentistry)を実践しています。

エステ的な審美治療との違い ─「医療」として行う審美歯科セラミック治療

審美=美容というイメージを持つ方も少なくありませんが、歯科の審美治療は「医療行為」です。
たとえば

  • ホワイトニング
  • セラミック治療
  • 歯肉のライン形成

など、見た目を整える治療もすべて、歯・歯肉・骨・噛み合わせを理解した医師が行うべき医療行為です。

度に歯を削ったり、噛み合わせを無視した治療をすれば、美しさは長続きせず、かえって口腔環境を崩してしまうこともあります。
LOTUS DENTAL CLINIC 東京(ロータスデンタルクリニック東京)では、美しさだけを追い求めるのではなく、長期的に機能し続ける“医療としての審美治療” を実践しています。

  • 科学的根拠に基づく診断
  • 精密機器を使用した適合性の高い治療
  • 技工士との綿密な連携
  • 歯周組織の健康を前提とした治療設計

これらが整ってこそ、「美しさの持続」が可能になります。

美しさは“医療の質の高さ”から生まれる

審美歯科セラミック治療は、ただ白い歯を入れる治療ではありません。
患者様の自信を取り戻し、美しさと健康を長く保つための医療です。

2. 目指す“精密審美治療”とは

2. 目指す“精密審美治療”とは

── 美しさのその先にある「長期安定」と「医療としての品質」
審美歯科セラミック治療において、最も重要なのは「仕上がりの美しさ」だと思われる方が多くいらっしゃいます。
しかし、私たちLOTUS DENTAL CLINIC 東京(ロータスデンタルクリニック東京)が追求する“審美のゴール”は、決して見た目の美しさだけで終わるものではありません。
私たちが目指すのは、“医学的に正しい治療プロセス”の上に成り立つ、長期的に安定する美しさです。
どれほど見た目が綺麗でも、噛み合わせのバランスが崩れたり、歯肉が炎症を起こしたり、数年で外れてしまうような治療では、本当の意味で患者様のためになるとは言えません。
LOTUS DENTAL CLINIC 東京(ロータスデンタルクリニック東京)の審美治療は、「精密」=美しさ・機能・健康を同時に整えるための医療基準を軸にしています。

マイクロスコープ × CT × デジタル:精密審美の“3大基盤”

当院では、審美治療の精度を高めるために、大学病院レベルの精密設備をフル活用しています。

① マイクロスコープ(歯科用顕微鏡)

肉眼の20倍以上の視野で確認できるため、

  • 削る量の最小化
  • マージン(境目)の精密形成
  • 歯肉を傷つけない処置
  • 接着面の精密管理

など、治療のあらゆる工程の精度を高めます。

これは、審美治療の“仕上がりと寿命を左右する最も重要な要素”です。

② 歯科用CT(3D画像)

歯の形態・骨の状態・歯肉の厚みを立体的に把握することで、セラミックの適応判断や歯肉ラインの設計に欠かせません。
CT解析なしに審美治療を行うことは、正確な地図を持たずに建築するようなものです。

③ デジタルシミュレーション(iTero 口腔内スキャン)

  • 噛み合わせの力
  • 上下の歯の動き
  • 歯列全体のバランス
  • 治療後のイメージ

をデジタルで再現し、“見える化された審美治療”を実現しています。

患者様が治療前に仕上がりを確認できるだけでなく、治療計画の精度が格段に向上します。

審美治療は「技工士の技術」でも結果が変わる

── “専任技工士と連携”した治療体制
セラミックの仕上がりは、歯科医師だけでなく、実際に被せ物を制作する歯科技工士の技術にも大きく左右されます。
LOTUS DENTAL CLINIC 東京(ロータスデンタルクリニック東京)では、審美治療を得意とするラボと密接に連携し、色味・透明感・形態を調整するプロセスを丁寧に行っています。
必要に応じて技工士が直接患者様のお口を確認し、表情や肌の色、光の当たり方まで考慮した“世界にひとつだけのセラミック”を制作します。
これは、自由診療専門クリニックだからこそ叶えられるクオリティです。

「歯肉ライン」と「噛み合わせ」が、審美治療の寿命を左右する

前歯のセラミックは、歯ぐきのラインと噛み合わせが整っていなければ長く持ちません。

  • 歯肉ラインが不揃い
  • 歯ぐきが腫れやすい
  • 噛む力の偏り
  • 歯列の傾き
  • 歯周病の進行

こうした問題を無視してセラミックを装着しても、見た目は綺麗でもトラブルは必ず起こります。
審美歯科セラミック治療を行うLOTUS DENTAL CLINIC 東京(ロータスデンタルクリニック東京)では、「歯肉の健康」と「噛み合わせの調和」を治療設計に必ず組み込み、長期的に機能する審美治療を実現します。

LOTUS DENTAL CLINIC 東京(ロータスデンタルクリニック東京)が目指すのは

“その人の人生に寄り添う審美治療”
審美歯科セラミック治療は、ただ歯を白くする、形を整えるという治療ではありません。
その人が自然体で笑えるようになるための医療であり、自信や生活の質(QOL)を大きく高める力を持つ治療です。
LOTUS DENTAL CLINIC 東京(ロータスデンタルクリニック東京)の審美治療は、

  • 科学的根拠に基づいた診断
  • 最小限の切削による身体への負担軽減
  • 長期安定を見据えた噛み合わせ設計
  • 専任技工士との高度な連携
  • 歯周組織の健康を維持できる治療プロセス

これらすべてを一つの治療として統合し、“美しさ × 精密さ × 長期安定”を両立した審美医療をご提供します。

3.まずは“理想の口元”をデザインする

3.まずは“理想の口元”をデザインする

── 審美診断・デジタルシミュレーション
美しい口元とは、ただ歯が白いことでも、歯並びが揃っていることでもありません。
本当に魅力的な笑顔をつくるには、顔貌とのバランス、歯肉ラインの整い方、噛み合わせの調和、歯の形態・色調の精密な設計が不可欠です。
LOTUS DENTAL CLINIC 東京(ロータスデンタルクリニック東京)では、審美治療を行ううえでまず最初に「患者様の理想のゴールを、デジタルで可視化する」というプロセスを最も大切にしています。
治療を始める前の段階で、「治療後の姿」を具体的に知ることができる。
これは、審美治療の満足度を大きく左右する重要なステップです。
私たちは、この“見える化された審美診断”を用いることで、患者様と同じ未来を共有し、ミリ単位で完成度を高める治療計画を立案しています。

お顔全体のバランスから分析を始めます

── 審美は歯だけではなく“顔の一部”として捉える
歯の美しさは、口元だけでなく顔全体の印象に影響します。
そのためLOTUS DENTAL CLINIC 東京(ロータスデンタルクリニック東京)ではまず、以下の要素を総合的に分析します。

  • スマイルライン(笑ったときの歯と唇のライン)
  • フェイスラインとのバランス
  • 唇の厚み・動きの癖
  • 歯の長さ・幅・プロポーション
  • 歯肉の見える量(ガミースマイルの評価)

この“包括的な顔貌分析”を行うことで、単に歯を綺麗に並べるだけではなく、自然で美しい笑顔に調和するデザインを設計できます。

iTero口腔内スキャンによる精密データの取得

審美歯科セラミック治療の診断では、従来の型取りでは再現できない精度が求められます。
当院では、歯を削らずに精密に口腔内を3Dデータ化できるiTeroスキャナー を導入しています。

iTeroが審美治療にもたらすメリット

  • 歯の形態・表面の凹凸まで高精度に再現できる
  • 咬合(噛み合わせ)の動きを立体的に把握
  • 従来の型取りより不快感が少なく、スピーディ
  • セラミック製作時の誤差が大幅に減少

iTeroで得たデータは、そのまま技工士にも共有され、被せ物の精度・透明感・形態の再現性を高める基盤となります。

デジタルシミュレーションで“治療後の姿”を事前に確認

多くの患者様が驚かれるのが、治療前に 完成形に近いイメージを可視化できることです。

  • セラミックにした場合の見た目
  • 歯肉ラインを整えた際の変化
  • 歯列のバランスの変化
  • 色調の変化(白さの度合い)
  • 横顔・笑顔の印象の違い

これらを治療前に3D上で確認できるため、
「本当にこの形でいいのか?」
「もっと自然な色味にしたい」
「もう少し長さを変えられる?」
といった細かな希望も、その場で反映できます。
患者様自身が“自分の理想”に近づけるプロセスに参加できること。
これが、審美治療の満足度を大きく高めるポイントです。

医師 × 技工士 × 患者様

三者で作り上げる「一生ものの審美治療」
デジタル分析をもとに作成された治療計画は、担当医だけでなく、審美専門の技工士とも共有されます。

  • 色調の選択
  • 透明感の調整
  • 表面のテクスチャー
  • 歯と歯のバランス
  • 歯肉とのつながり方

技工士が直接お口の状態を確認することで、世界にひとつだけのセラミックが完成していきます。
審美歯科セラミック治療を行う歯医者・歯科のLOTUS DENTAL CLINIC 東京(ロータスデンタルクリニック東京)では、こうした緻密なコミュニケーションを通じて、“機能性と美しさを両立し、長期的に安定する審美治療”を提供しています。

デジタル診断に基づいた審美治療は、

結果を「偶然」ではなく「必然」へ
審美治療は、感覚や経験だけで行う時代ではありません。
科学的根拠に基づいたデジタル診断を取り入れることで、結果の再現性が飛躍的に高まり、長く満足いただける治療につながります。

4.天然歯と調和する“セラミック”という選択肢

4.天然歯と調和する“セラミック”という選択肢

── 美しさ・強度・生体親和性を兼ね備えた先進素材
審美歯科セラミック治療において、セラミックは“見た目を綺麗にするための素材”というだけではなく、歯や歯肉に優しく、長期的に安定した治療結果を得るための医療素材です。
LOTUS DENTAL CLINIC 東京(ロータスデンタルクリニック東京)では、ただ白い歯を作るのではなく、「天然歯と見分けがつかない美しさ × 機能 × 健康」を同時に叶えるために、セラミック治療を採用しています。

セラミックが選ばれる3つの理由

① 自然で美しい透明感・色調の再現性

天然歯は、単純な白ではなく、表面のツヤ・内部の透明感・エナメル質の光の透け方など、複雑な“層”の構造でできています。
セラミックはこの複雑な構造を極めて高い精度で再現できるため、

  • 明るすぎない自然な白さ
  • 口元のバランスに合った色調
  • 光の反射まで忠実に表現

が可能です。

LOTUS DENTAL CLINIC 東京(ロータスデンタルクリニック東京)では、審美専門の技工士が、患者様の肌色・唇の色・笑った時の歯の見え方まで考慮して、世界に一つだけのカラー設計 を行います。

② 金属アレルギーの心配がない“メタルフリー”

セラミックは100%メタルフリー素材です。
金属を使用しないため、

  • 金属アレルギーリスクの軽減
  • 歯ぐきの黒ずみが起きにくい
  • 経年劣化しにくい
  • 歯肉との調和が取りやすい

といったメリットがあります。

審美性だけでなく、身体への安全性を重視する方にも適した治療です。

③ 高い耐久性と長期安定性

セラミックは表面が非常に滑らかで、プラーク(細菌の塊)が付着しにくく、長期的に清潔な状態を保ちやすい素材です。
また、強度が高いため

  • 欠けにくい
  • 色が変わりにくい
  • 劣化しにくい

など、長期的な耐久性が確立しています。

「見た目が綺麗なだけでなく、長く使える」
これがセラミックが医療素材として優れている理由です。

セラミックの種類と適応

── 患者様一人ひとりの状態に合わせて選択します
LOTUS DENTAL CLINIC 東京(ロータスデンタルクリニック東京)では、複数のセラミック素材を使い分けています。

ジルコニアセラミック

強度が非常に高く、奥歯やブリッジに適しています。
審美性も年々向上し、前歯にも使用されることが増えています。

e.max(ニケイ酸リチウムガラスセラミック)

透明感に優れ、前歯の審美治療の定番です。
繊細な色調表現が必要なケースに適しています。

フルジルコニア(高強度特化型)

咬合力が強い方、スポーツをされる方などに適した高耐久タイプ。
最適な素材は、歯の位置・噛み合わせ・患者様のご希望によって異なります。LOTUS DENTAL CLINIC 東京(ロータスデンタルクリニック東京)では、診査診断の結果をもとに、適切な素材をご提案いたします。

歯を削る量を最小限に

── ミニマルプレパレーションの実践
セラミック治療では、歯を削る工程(プレパレーション)が欠かせませんが、削りすぎは歯の寿命を縮めてしまいます。
LOTUS DENTAL CLINIC 東京(ロータスデンタルクリニック東京)では、歯に優しい“ミニマルプレパレーション” を徹底。

  • マイクロスコープによる視野拡大
  • 必要最小限の形成
  • 健康な歯質を極力残す設計

これにより、歯の寿命を最大限に守りながら、美しさと機能を両立させています。

セラミック治療は“技術 × 素材 × 設計”の総合医療

見た目を綺麗にするだけでは、審美治療は長続きしません。
セラミック治療は医療行為であり、噛み合わせ・歯肉の健康・素材選択・精密形成・接着技術・技工士の技術すべてが揃って初めて成功します。

5.精密形成と適合性

5.精密形成と適合性

── ミクロン単位の技術が“美しさの寿命”を決める理由
審美歯科セラミック治療の仕上がりは、素材の良し悪しだけで決まるわけではありません。
もっとも重要なのは、歯科医師がどれだけ“精密に歯を形成し、適合性を高められるか”という技術の部分です。
たとえ高品質なセラミックを使っていても、

  • 歯を削る形が不正確
  • 適合が甘い
  • 境目が滑らかでない

といったわずかなズレがあるだけで、審美治療は長く安定しません。
LOTUS DENTAL CLINIC 東京(ロータスデンタルクリニック東京)では、美しいだけではなく “長期的に機能する審美治療” を提供するために、ミクロン単位の精度を追求した精密形成と適合性の確保を徹底しています。

歯を削る量を最小限に

── ミニマルプレパレーションの徹底
セラミックを装着する際、歯を削る工程(形成)は必須ですが、削り過ぎると歯の寿命を縮め、長期安定性を損ないます。
そのため審美歯科セラミック治療を行うLOTUS DENTAL CLINIC 東京(ロータスデンタルクリニック東京)では、健康な歯を極力残しつつ、必要最小限のみ削る“ミニマルプレパレーション” を行います。

最小限形成のメリット

  • 歯の神経を守りやすい
  • 歯の強度を維持できる
  • 将来的な再治療のリスクが低下
  • 生体への負担が最小化

マイクロスコープによる拡大視野で形成することにより、無駄な切削を避け、歯にとって最も優しい形態を維持します。

マイクロスコープによる高精度な形成

── 肉眼では見えない“境目”の仕上がりが寿命を左右
セラミックと歯の境目(マージン)は、治療の中でも特に精度が求められる部分です。
肉眼では確認できないわずかな段差があるだけで、

  • バイオフィルム(細菌の層)が付着しやすい
  • 歯ぐきが炎症を起こしやすい
  • セラミックが外れやすくなる
  • 二次虫歯のリスクが高くなる

といったトラブルの原因になります。
LOTUS DENTAL CLINIC 東京(ロータスデンタルクリニック東京)では、マイクロスコープ(歯科用顕微鏡)を用いて形成を行い、肉眼では絶対に見落としてしまう境目の精度まで徹底的にこだわります。

適合性は“美しさ以上に重要”と考えています

審美治療では、「色」や「形」など見た目に注目されがちですが、実は、美しさ以上に重要なのが適合性です。
適合不良があると…

  • セラミックが浮いて見える
  • 隙間から細菌が侵入し、虫歯が再発
  • セラミックの縁が黒ずむ
  • 歯肉が腫れたり退縮したりする

こうした症状は、どれだけ高価なセラミックを使っていても起こります。
だからこそLOTUS DENTAL CLINIC 東京(ロータスデンタルクリニック東京)では、「美しさ × 適合性 × 機能」を同時に満たす精密治療を重視しています。

最先端の接着技術が“長持ちの鍵”

精密な形成と適合の後、セラミックを歯に固定する 接着技術(ボンディング) が重要です。
LOTUS DENTAL CLINIC 東京(ロータスデンタルクリニック東京)では、

  • 歯面処理
  • セラミックの前処理
  • 接着材の選択
  • 湿度・温度などの管理

など、接着工程を科学的根拠に基づいて行い、剥がれにくく、長く安定する状態をつくり上げます。
接着の質が高いほど、セラミック治療の寿命は長くなります。

ミクロン単位の精密治療が、その人の人生の“美しい笑顔”を支えます

精密形成と適合性は、単に“綺麗に見える”だけではなく、未来の歯を守るための医療そのものです。
LOTUS DENTAL CLINIC 東京(ロータスデンタルクリニック東京)では、

  • マイクロスコープ
  • CT
  • デジタル解析
  • 精密技工

を組み合わせ、“美しさ・機能・健康のすべてが調和したセラミック治療”を提供しています。
「見た目を整えるための治療」から一歩進んだ、“口元から人生を豊かにする審美治療”を、私たちは目指しています。

6.噛み合わせの調和は“審美の長期安定”に不可欠

6.噛み合わせの調和は“審美の長期安定”に不可欠

── 美しさを長く保つための“見えない基盤”
審美歯科セラミック治療は、「見た目が綺麗になれば成功」というものではありません。
むしろ本当に重要なのは、治療した歯が“長く安定して機能し続けるかどうか”という点です。
そしてこの長期安定を大きく左右するのが、噛み合わせ(咬合)のバランスです。
どれほど美しく仕上げたセラミックでも、噛み合わせが整っていなければ、その寿命は短くなり、痛みや欠け、歯肉の炎症など、さまざまなトラブルを引き起こします。
LOTUS DENTAL CLINIC 東京(ロータスデンタルクリニック東京)では、“審美治療=噛み合わせの治療でもある”という哲学に基づき、見た目だけでなく、機能性の回復・調和を重視した総合審美治療を行っています。

噛み合わせのズレが生むリスク

── 美しさを損なうだけでなく、歯の寿命にも影響
噛み合わせのバランスが崩れていると、以下のような問題が起こります。

セラミックが欠けやすい・外れやすい

一部の歯に過度な力が集中すると衝撃に耐えられず、割れ・破損・脱離の原因になります。

歯肉の炎症や退縮

不適切な咬合力は、歯周組織への負担となり、歯肉が下がったり腫れたりすることがあります。

顎関節症のリスクが増える

ズレた噛み合わせは、筋肉の緊張・関節の不調を引き起こし、頭痛・肩こり・違和感など全身症状につながることもあります。

他の歯の寿命にも影響

1本だけが強く当たると、周囲の歯や対合歯にも悪影響が及び、全体的な歯の寿命を縮める可能性があります。
「見た目は綺麗だけど、なんとなく噛みにくい」
そう感じている方は、噛み合わせに問題があるケースが多いのです。

“全顎的な咬合診断”を行います

審美治療の診断時、当院では、1本だけではなく“口腔全体”の噛み合わせを評価します。

歯科用CT

噛み合わせに関わる骨の状態、顎関節の形態を立体的に把握。

デジタルスキャン(iTero)

咬合接触の位置、噛む動き、摩耗のパターンなどを解析。

咬合紙・咬合調整

歯が当たる位置・量・方向を細かく確認し、必要に応じて微調整を行います。
審美治療において、これほどまでに噛み合わせを重視する理由は、美しさだけを整えても、それが長く維持できなければ意味がないからです。

セラミック治療後の“噛み合わせ調整”がとても重要です

セラミックを装着した直後は、まだ微妙な違和感があったり、噛み合わせが完全に馴染んでいないことがあります。
LOTUS DENTAL CLINIC 東京(ロータスデンタルクリニック東京)では、装着後、数週間~数か月にわたり経過を診ながら微調整を行い、噛み合わせが過度に偏らないよう精密に管理します。
調整を怠ると…

  • セラミックが割れやすい
  • 歯肉炎・歯周病が悪化
  • 顎関節に負荷がかかる
  • 歯の寿命が短くなる

審美治療こそ、治療後のフォローが品質を左右します。

歯列全体の調和が“美しさの本質”です

美しい口元は、1本の歯が綺麗なだけでは完成しません。
歯列全体のバランス、噛み合わせの安定性、歯肉ラインの調和があってこそ、自然で魅力的な笑顔が生まれます。
審美歯科セラミック治療を行う歯医者・歯科のLOTUS DENTAL CLINIC 東京(ロータスデンタルクリニック東京)、はその場の見た目の美しさではなく、10年、20年後の患者様が健康に噛めて、美しい歯を維持できることを見据えて審美治療を設計します。

噛み合わせは“審美治療の影の主役”です

審美治療は、歯を白くしたり、形を整えたりするだけでなく、口腔機能全体のバランスを整える高度な医療です。
噛み合わせが整っているからこそ、

  • 美しさが長持ちする
  • 割れにくい
  • 外れにくい
  • 歯肉が健康に保たれる
  • 全体のバランスが崩れない

という結果が生まれます。

7.歯ぐきのラインが笑顔を変える

7.歯ぐきのラインが笑顔を変える

― 状態に合わせて“最善の保存”を追求する高度治療ラインナップ

── 歯周形成外科・ガミースマイル治療という“審美の最終仕上げ”
笑顔の印象を大きく左右するのは、歯だけではありません。
実は、歯ぐきのライン(歯肉ライン)も美しい口元をつくる重要な要素です。
歯がどれだけ綺麗でも、歯ぐきが不均一だったり、笑った時に歯ぐきが大きく見える“ガミースマイル”の状態だと、バランスが崩れて見えてしまうことがあります。
LOTUS DENTAL CLINIC 東京(ロータスデンタルクリニック東京)では、セラミック治療・ホワイトニング・矯正治療だけでなく、歯ぐきの形を整える歯周形成外科まで一貫して対応。
顔全体の調和を考えた「トータル審美治療」を行うことで、患者様が望む自然で美しい笑顔へ導きます。

歯ぐきのラインは“笑顔のフレーム”

歯が“絵”だとしたら、歯ぐきはそれを引き立てる“額縁(フレーム)”のような存在です。
歯肉ラインが整っていると、口元全体が引き締まり、歯がより美しく際立ちます。
逆に歯ぐきが不揃いだと…

  • 歯が短く見える
  • 歯並びが悪く見える
  • 笑顔が間延びした印象になる
  • ガミースマイルが気になる

など、見た目に影響を与えてしまいます。
この“歯肉ラインの乱れ”は、セルフケアやホワイトニングでは改善できません。
専門的な歯周形成外科が必要です。

歯周形成外科とは?

── 医科と歯科が交わる高度な審美外科領域
歯周形成外科とは、歯ぐきの厚み・高さ・形を整え、自然で美しい状態へ導く外科処置です。
代表的な症例としては、

  • ガミースマイル
  • 歯肉の左右差
  • セラミック周囲の黒い影(ブラックトライアングル)
  • 加齢や歯周病による歯ぐきの退縮
  • 歯が短く見える「歯肉過形成」

などがあります。

審美歯科セラミック治療を行うLOTUS DENTAL CLINIC 東京(ロータスデンタルクリニック東京)の歯周形成外科は、歯周病学を専門的に学んだ歯科医師が担当し、審美性と機能性の双方を考慮した高度な技術で治療を行います。

ガミースマイル治療は“笑顔の黄金比”をつくる治療

ガミースマイルには原因がいくつかあり、原因によって治療方法が異なります。

歯肉が過剰に位置している

→ 歯肉を整える外科処置(歯冠長延長術)

上唇の動きが大きい

→ 上唇粘膜の調整や筋の制御を行う処置

骨格的な要因

→ CTで精密診断し、適切なアプローチを検討

笑顔の比率(縦横比)、歯と歯ぐきの見える量、顔全体のバランスを考慮しながら、“一番美しく見えるライン”をデザインします。
LOTUS DENTAL CLINIC 東京(ロータスデンタルクリニック東京)では、ただ歯ぐきを切るのではなく、審美目的の精密外科治療としてデザインすることに大きな特徴があります。

セラミック治療との併用で美しさが最大化する

歯周形成外科は単独治療でも大きな効果がありますが、特に相性が良いのが セラミック治療との併用です。
歯ぐきの位置を整えてからセラミックを作製すると、

  • 歯の長さのバランスが整う
  • 歯肉との境目が自然になる
  • 黒い影が出にくい
  • セラミックがより美しく見える
  • 長期的に審美性が安定する

というメリットがあります。

歯科医師・歯科衛生士・歯科技工士が連携し、「歯 × 歯ぐき × 噛み合わせ」三位一体の審美設計を行います。

CT・マイクロスコープを用いた“安全で精密な歯肉形成”

歯周形成外科は非常に繊細な処置であり、ごくわずかなズレが仕上がりに大きく影響します。
そこで精密審美歯科セラミック治療を行うLOTUS DENTAL CLINIC 東京(ロータスデンタルクリニック東京)では、

  • CT解析による骨形態の把握
  • マイクロスコープによる拡大視野下での外科操作
  • 術前シミュレーションによる最適デザインの設計

を標準化し、安全性と精密性を担保した手術を行っています。

痛みを抑えるための麻酔・術後ケアにも配慮し、なるべく負担の少ない治療体験を目指しています。

“歯ぐきが変わると、笑顔が変わる”という実感を

歯ぐきのラインが整うと、笑ったときの表情が見違えるほど洗練されます。

  • 自然で柔らかい笑顔になる
  • 口元が引き締まる
  • 歯が美しく際立つ
  • 若々しい印象に見える

歯ぐきのバランスは、“美しい笑顔をつくる土台”と言っても過言ではありません。

8. セラミック治療の成功は“技工士との連携”で決まる

8. セラミック治療の成功は“技工士との連携”で決まる

── 技術とアートが融合する最先端の審美歯科セラミック治療
セラミック治療は「歯を白く美しくする」だけの治療ではありません。
歯の形態、色調、透明感、噛み合わせ、歯ぐきとの調和──。
それらすべてが繊細に組み合わさって初めて、自然で美しい口元が完成します。
そのクオリティを決定づける要素の一つが、“歯科技工士との密接な連携”です。
LOTUS DENTAL CLINIC 東京(ロータスデンタルクリニック東京)では、高度な審美歯科セラミック治療を専門とする歯科技工士とチームを組み、治療開始前から完成まで一貫して連携する体制を整えています。

セラミックは“医療”であり“アート”

── 微細な表現が仕上がりを左右する
歯は単なる白い物体ではなく、光の透過・反射・屈折が複雑に混ざり合って構成されています。
そのため、自然な歯を再現するためには 職人レベルの色彩感覚と造形技術が不可欠です。
一つひとつを手作業で重ね焼きするセラミックの層は、数十ミクロンの世界。
それを担う歯科技工士の技術力が、審美結果を大きく左右します。
審美歯科セラミック治療を行う歯医者・歯科のLOTUS DENTAL CLINIC 東京(ロータスデンタルクリニック東京)では、国内外の審美歯科技工に精通した技工士と連携し、患者様の“顔全体のバランス”まで考えたデザインを採用しています。

技工士立会いで“あなたのためだけの色・形”をデザイン

LOTUS DENTAL CLINIC 東京(ロータスデンタルクリニック東京)では、必要に応じて歯科技工士が診療に立ち会い、直接患者様のお顔立ちや笑顔の動きを確認します。

技工士立会いで得られるメリット

  • 肌の色・唇の色・白目の白さなどから最適な色を選べる
  • 笑った時の唇の動きに合わせた自然な形がつくれる
  • 左右の歯の微妙なカーブや厚みの再現性が高まる
  • イメージのすれ違いを防ぎ、満足度が大幅に向上

“写真だけでは表現できない情報”を技工士が直接確認することで、世界に一つだけのセラミックを作り上げることが可能になります。

噛み合わせの分析なしに、審美治療は成功しない

セラミック治療で最も重要なのは、見た目と機能の両立です。
美しいだけでは、長く機能しません。
噛み合わせのバランスがずれていれば、どんなに高品質なセラミックでも欠けたり割れたりする可能性があります。
そこでLOTUS DENTAL CLINIC 東京(ロータスデンタルクリニック東京)では、

  • CTで骨格を把握
  • デジタル咬合分析
  • 噛み癖や顎関節の状態の確認
  • 3Dシミュレーションでの噛み合わせ設計

を組み合わせ、“機能美”を追求した長期安定型のセラミック治療を提供しています。
“ただ白くする”のではなく、 “美しく噛める”状態へ導くこと。
これが私たちの審美治療の本質です。

試適(Try-in)と微調整を重視

── その場で確認しながら、理想の形へ
セラミックが完成したら、まずは仮合わせ(試適)を行い、実際に装着した状態を確認します。

試適で確認するポイント

  • 歯の長さ・幅・厚み
  • スマイルラインとの整合性
  • 歯ぐきとの境目
  • 色の透明感・明度・彩度
  • 会話時に見える範囲のバランス
  • 噛み合わせの接触点
  • 顔全体の印象との調和

患者様自身の目で確認していただきながら、気になる点は技工士と相談し、即時調整を行います。
これにより、“医師が良いと思う歯”ではなく、“患者様自身が本当に満足できる歯”を完成させることができます。

セラミックは“未来を変える投資”

── 長期安定と健康を同時に手に入れる
セラミック治療は、単に見た目を整えるだけではありません。

  • 二次虫歯のリスクが低い
  • 汚れがつきにくく清潔に保てる
  • 金属アレルギーの心配がない
  • 噛み合わせの改善につながる
  • 顔全体の印象が若返る

という多くのメリットがあります。

そして何より、自身の笑顔に自信を持てることは、日々のコミュニケーションや人生の充実度に大きな影響を与えます。

9. セラミック治療の種類と選び方

9. セラミック治療の種類と選び方

── “理想の仕上がり”を叶える最適解をご提案します
セラミック治療は、ひとつの方法が万能というわけではありません。
患者様の歯の状態や噛み合わせ、求める美しさ、耐久性、そして生活スタイルによって、最適な素材や治療法は異なります。
医師の主観ではなく 科学的根拠と精密診断をベースに、患者様一人ひとりに最適な素材をご提案しています。

セラミックは「素材が違えば、仕上がりも寿命も変わる」

一般的に“セラミック”とまとめて呼ばれていますが、実際には多くの種類があり、強度・透明感・適応部位が異なります。
患者様の理想が「どんな歯をつくりたいのか」によって、選ぶべき素材は大きく変わります。
LOTUS DENTAL CLINIC 東京(ロータスデンタルクリニック東京)で扱う主要な素材を、医療的観点を踏まえながらご紹介します。

① ジルコニア(フルジルコニア)

── 圧倒的な強度が必要な“噛むための歯”に
ジルコニアは、人工ダイヤにも例えられるほど高強度な素材です。
奥歯のように強い咬合力が加わる部位に適しており、耐久性と破折リスクの低さが最大の特徴です。
こんな方に最適です

  • 奥歯が欠けやすい方
  • 強い噛み癖がある方
  • 長期安定性を重視したい方
  • すり減りやすい金属を避けたい方

最近は透明感の高いジルコニアも登場し、審美性を求めつつ強度も確保したいケースに選ばれています。

② ジルコニアセラミック(ジルコニアフレーム+セラミック築盛)

── 強度 × 審美性の“ハイブリッド”
フレームにジルコニアを使用し、その上にセラミックを手作業で築盛して仕上げる方法です。
強度と美しさを両立でき、前歯・奥歯どちらにも高いレベルで適応できる優秀な素材です。

メリット
  • 自然歯のような透明感・色調の再現
  • 破折しやすいオールセラミックに比べ強度が高い
  • 高難度の症例でも適応範囲が広い

LOTUS DENTAL CLINIC 東京(ロータスデンタルクリニック東京)では、歯科技工士が患者様の顔貌を確認しながら色を決めるため、審美性の再現性が高い治療法のひとつです。

③ e.max(オールセラミック)

── 天然歯に最も近い“美しさ”を求める方へ
e.maxは、リチウムシリケートガラスを主成分とするセラミックで、光の透過性が非常に高く、自然な透明感が魅力です。

適応部位
  • 前歯部
  • 小臼歯
  • 審美性を重視したいケース全般

ただしオールセラミックのため強度面ではジルコニアに劣ります。
そのため、噛み合わせの状態を精密に評価し、適応の可否を慎重に判断します。

素材選びで最も大切なのは

“見た目”ではなく“あなたに合うかどうか”
美しさだけで素材を選んでしまうと、後に欠ける・歯ぐきと合わない・噛みにくいなどのトラブルにつながることがあります。
素材選びの前に必ず

  • 噛み合わせの分析
  • 骨格・筋肉の動き
  • 歯ぐきの形態
  • 現在の歯の色・透明度
  • 将来のトラブルリスク
  • 生活習慣(食いしばり・歯ぎしりなど)

を総合的に検査します。

そのうえで、患者様の将来まで見据えた“最適解”になる素材のみを提案します。

セラミックは“長期安定”が最重要

── 表面のツヤが変わらず、汚れも付きにくい
セラミックの多くは陶材でできているため、表面が非常に滑らかで汚れが付きにくいのが特徴です。
これにより、

  • 二次虫歯のリスク軽減
  • 歯周病リスクの低減
  • 長期間美しさが続く
  • 口臭予防にも効果的

といったメリットがあります。

LOTUS DENTAL CLINIC 東京(ロータスデンタルクリニック東京)では、装着後の咬合調整・メンテナンスまで一貫して行うことで、審美性と健康どちらも長く維持できる環境を整えています。

素材選びは“あなたの未来をつくる選択”

セラミック治療の成功は、素材そのものよりも、精密診断 × 技術 × 技工士連携 × 予後管理の四つが揃って初めて成立します。
そして、どんな素材にも長所・短所があります。
だからこそ、私たちは「どの素材が流行しているか」ではなく、“あなたの歯と人生に最適かどうか” を基準にご提案いたします。
患者様の理想と医学的根拠を両立させた治療こそ、LOTUS DENTAL CLINIC 東京(ロータスデンタルクリニック東京)が大切にしている審美歯科セラミック治療の姿勢です。

10.セラミック治療の流れ

10.セラミック治療の流れ

── はじめての方でも、迷わず安心して進められるステップ
セラミック治療は、単に詰め物や被せ物を置き換えるだけではなく、噛み合わせ・歯ぐきとの調和・長期的な安定性まで考慮した精密治療です。
そのため、治療のプロセスは一般的な歯科治療よりも丁寧で体系的である必要があります。
東京都目黒駅で審美歯科セラミック治療を行う歯医者・歯科のLOTUS DENTAL CLINIC 東京(ロータスデンタルクリニック東京)では、初診から完成、そして術後のメンテナンスまで一貫して “患者様が安心して決断できる流れ”を重視しています。

  • STEP01

    問診とヒアリング

    ── あなたの理想と不安を丁寧に伺います

    まずは、現在気になっている点だけでなく、「どんな歯になりたいか」「治療後どう生活したいか」など、患者様の価値観や理想も含めて丁寧に伺います。

    • 歯の色への悩み
    • 詰め物・被せ物の違和感
    • 過去の治療で残った不満
    • 人前で笑いにくい
    • 将来的な予防も考慮したい

    こうした思いを共有いただくことで、治療の方向性がより明確になります。

  • STEP02

    精密検査(CT・口腔内スキャン・写真・歯周検査)

    ── 科学的根拠にもとづくデータ収集

    セラミック治療の完成度を高めるうえで欠かせないのが、精密な事前検査 です。
    精密審美歯科セラミック治療を行うLOTUS DENTAL CLINIC 東京(ロータスデンタルクリニック東京)では、以下を標準的に実施します。

    歯科用CT撮影

    骨欠損の形態(深さ・角度・幅)を3Dで解析し、再生可能性を評価します。

    歯周組織検査(プロービング)

    歯周ポケットの深さ・出血の有無を確認。炎症レベルを数値化します。

    マイクロスコープ診査

    肉眼では見えない歯根表面・亀裂・プラーク付着を確認し、精密な処置計画を立てます。

    噛み合わせ分析

    噛む力の偏りは再生阻害因子となるため、咬合バランスも必ず評価します。
    これらの結果をもとに、「再生可能か」「他の治療が適しているか」を正確に判断します。

  • STEP03

    診断・治療計画の説明

    —— 選べる治療プランと長期的な見通しを共有

    検査結果をもとに、再生療法の適応性・成功率・必要な処置などを分かりやすくご説明します。

    可能な治療法の例

    • エムドゲイン法
    • GBR(骨再生誘導法)
    • 自家骨移植
    • 歯周形成外科の併用

    複数の選択肢がある場合は、それぞれのメリット・デメリット・治療期間・費用を丁寧に比較しながら、患者様と一緒に治療方針を決定します。

  • STEP04

    術前の歯周基本治療

    —— 炎症を徹底的に取り除き、再生の環境を整える

    再生療法の成功率を高めるため、術前には必ず以下を行います。

    スケーリング・SRP

    歯石やプラークを徹底除去し、炎症の源を取り除きます。

    ブラッシング指導

    正しい磨き方を習得し、術後の感染を防ぐ準備を整えます。

    生活習慣の管理

    喫煙中の方には禁煙のサポートを行います。

    噛み合わせ調整

    不正咬合は再生阻害因子となるため、事前に改善します。
    このステップは再生療法において「基礎工事」に相当し、手術の成否を大きく左右します。

  • STEP05

    再生療法(外科処置)

    —— マイクロスコープ下で行う精密外科治療

    外科処置は完全個室・衛生管理の整った環境で行います。

    • 1.局所麻酔
    • 2.歯肉を丁寧に開く(フラップ手術)
    • 3.感染源の完全除去(マイクロスコープ併用)
    • 4.再生材料の設置(エムドゲイン・人工骨・自家骨)
    • 5.膜(メンブレン)で保護
    • 6.縫合し、治癒しやすい密閉空間を確保

    縫合は“張力”と“膜の安定性”が極めて重要で、術者の外科技術が結果を大きく左右します。

  • STEP06

    術後管理

    —— 再生を守るための“安静期間”

    術後数日~1週間は腫れや違和感が出る場合があります。
    この期間は以下を厳守していただきます。

    • 手術部位を触らない
    • 激しい運動や長時間入浴を避ける
    • 指定された薬剤・洗口剤を使用する
    • 歯ブラシは優しく
    • 禁煙(再生の大敵)

    再生材料が骨として成熟するには、約3~6ヶ月の期間が必要です。

  • STEP07

    再評価

    —— 再生の進行を科学的に確認する

    術後1~3ヶ月で一度検査を行い、

    • 歯周ポケットの改善
    • CTでの骨再生状態
    • 炎症の再発の有無

    を確認します。
    必要に応じて噛み合わせの調整や追加治療を行い、最適な環境を維持します。

  • STEP08

    メンテナンス(3~4ヶ月ごと)

    —— 再発を防ぎ、組織を維持する“治療後の柱”

    再生療法は、治療が終わってからが本当のスタートです。
    メンテナンスでは

    • バイオフィルムの除去
    • 歯周組織検査
    • 噛み合わせのチェック
    • 清掃状態の確認と改善指導

    を行い、再発を未然に防ぎます。
    再生療法の長期予後は、患者様との二人三脚で維持するものです。

① 「歯を守ること」ではなく「歯を守り続けられる状態をつくること」

“歯を残すだけの治療”は行いません。
なぜなら、残した歯が数年で再発しては意味がないからです。
治療した歯が

  • 噛む力に耐え
  • 炎症が再発せず
  • 周囲の歯と調和し
  • 長期的に安定して機能する

ことが最終的なゴールです。

そのために、「いま残せるか」ではなく「未来まで残せるか」を徹底的に評価し、治療計画に落とし込んでいきます。

② “原因を取り除き、繰り返さない歯”をつくること

重度虫歯が起きる背景には、必ず原因があります。

  • 噛み合わせの負荷
  • 歯周病
  • 磨き癖
  • 過去治療の不適合
  • ストレスによる食いしばり
  • 生活習慣
  • 唾液の性質

原因を取り除かない限り、同じ場所にまた虫歯は起こります。
LOTUS DENTAL CLINIC 東京(ロータスデンタルクリニック東京)の治療は、虫歯そのものより「虫歯を引き起こした環境」を治す医療です。
だからこそ、治療後の再発率を下げ、長期的な安定につながるのです。

③ 噛み合わせ・歯周病・生活習慣を含めた“包括治療”で未来を守る

重度虫歯治療は、根管治療・歯周治療・噛み合わせ・補綴治療が連動して初めて成功します。
重度虫歯治療=「歯だけを見る治療」ではなく、“口腔全体というシステムを整える治療”として捉えています。
だからこそ、

  • 噛む力の分散
  • 咬合バランスの調整
  • 歯周組織の安定
  • 歯列全体の調和
  • 長期メンテナンス

これら全てをひとつの流れとして設計します。
単発の治療ではなく、“長く持つための構造を再構築する治療“がLOTUS DENTAL CLINIC 東京(ロータスデンタルクリニック東京)の考えるゴールです。

④ 歯を守るだけでなく“自分の歯で生きる喜び”を取り戻す

歯を守ることは、見た目や噛む力を守ることだけではありません。

  • 食事が思いきり楽しめる
  • 笑顔に自信が持てる
  • 話すストレスがなくなる
  • 健康寿命が延びる
  • 生活の質が上がる

重度虫歯を治すことで、日常の “当たり前の幸せ” が大きく変わります。
歯科治療を通して、患者様の人生の質を根本から引き上げることを治療のゴールとして位置づけています。

⑤ 患者様と医療者が“パートナーとして未来を守る関係”を築く

LOTUS DENTAL CLINIC 東京(ロータスデンタルクリニック東京)の治療は、医師主導の一方通行ではありません。

  • 治療方針を一緒に決める
  • 不安や疑問を丁寧に解消する
  • 数値や画像で分かりやすく説明する
  • メリットとリスクを正直に伝える

すべては、患者様自身が治療を理解し、主体的に未来を守っていけるようにするためです。
歯科医師と患者様が「同じ方向を向いて治療に取り組める関係」こそ、最も大切にする医療のかたちです。

⑥ 治療後のメンテナンスこそ“歯の未来を決める最重要プロセス”

治療が終わった瞬間が“ゴール”ではありません。
LOTUS DENTAL CLINIC 東京(ロータスデンタルクリニック東京)ではむしろ、治療後からが本当のスタートだと考えています。

  • 担当衛生士による長期管理
  • 定期的な咬合チェック
  • 歯周組織の変化の追跡
  • 生活習慣の改善指導
  • 予防的クリーニング

これらを徹底することで、治療した歯を長期的に維持することが可能になります。
最終的なゴールは、治療が必要ない状態をずっと続けられる未来をつくること。
それが私たちの使命です。

重度虫歯治療のゴールは「歯を救う」だけではなく、「人生を支える」こと

重度虫歯治療は、痛みを取るだけの処置ではありません。
人生の中で、「食べる」「話す」「笑う」といった人としての基本的な営みを再び安心して行えるようにする医療です。
LOTUS DENTAL CLINIC 東京(ロータスデンタルクリニック東京)は、歯科から人生の質を変える医療
を理念に掲げ、あなたの未来を守る治療を追求し続けます。

11.よくある質問(Q&A)

11.よくある質問(Q&A)

── 審美歯科セラミック治療をご検討中の方へ
審美歯科セラミック治療は、見た目を整えるだけではなく、噛み合わせ・歯ぐき・長期的な健康まで影響する「総合治療」です。
患者様からいただくご質問の中で特に多い内容を、LOTUS DENTAL CLINIC (ロータスデンタルクリニック)東京の治療方針に合わせてご紹介します。

  • Q

    審美治療とホワイトニングの違いは?

    A

    ホワイトニングは”歯を削らず白くする”、審美治療は”歯の形や色・機能を再構築する”治療です。
    ホワイトニングは天然歯の色素を漂白する処置で、色は明るくなりますが形や噛み合わせは変わりません。
    一方、審美治療(セラミック治療)は、歯の形態・色・角度・噛み合わせを総合的に整え、機能性と美しさを同時に回復する医療行為です。

  • Q

    セラミックはどれくらい持ちますか?

    A

    適切な診断・精密治療・メンテナンスによって、長期的な安定が期待できます。
    セラミック自体は劣化しにくい素材ですが、装着する土台(歯・歯ぐき・噛み合わせ)の状態によって寿命が変わります。
    当院では、接着操作の精度にこだわり、治療後も専任衛生士が継続してメンテナンスを行います。

  • Q

    前歯の1本だけをきれいにしたいのですが、可能ですか?

    A

    可能ですが、”1本だけ治す”ことが最善でない場合もあります。
    前歯は光の反射・透明度・角度などが隣の歯と繊細に影響し合います。
    1本のみを治療すると違和感が出るケースもあるため、診査を行った上で本当に1本で問題ないかを慎重に判断します。

  • Q

    セラミックが欠けたり割れたりすることはありますか?

    A

    噛み合わせが原因の場合があります。
    セラミックそのものは強度が高い素材ですが、食いしばり・噛み合わせの負担・睡眠時のクセなどにより欠ける場合があります。
    当院では、咬合検査を行い、必要な場合はナイトガードの併用を提案します。

  • Q

    金属アレルギーがあるのですが大丈夫ですか?

    A

    セラミックは金属を使用しないため、アレルギーの心配がありません。
    近年は健康面の理由からもメタルフリー治療が選ばれています。
    当院で、使用するジルコニア・e.maxは生体親和性に優れています。

  • Q

    セラミックの色は自分で選べますか?

    A

    はい。技工士立会いにより、あなたに合う色調を細かく選択できます。
    肌のトーン・唇の色・白目の色など全体の調和を見ながら、最も自然に見える色をご提案します。

  • Q

    どの素材を選べばよいかわかりません。

    A

    すべて”検査結果と理想”から逆算してご提案します。
    当院では、素材ありきで治療を決めることはありません。
    噛み合わせ・歯ぐき・骨格・使い方の癖を診査した上で、長期的に安定する素材のみを医師が選定します。

  • Q

    費用はどれくらいかかりますか?

    A

    素材・本数・状態によって変動します。
    審美治療は保険適用外の自由診療です。
    治療前に必ず詳細な見積もりを提出し、費用と期間を明確にご説明しますのでご安心ください。

  • Q

    セラミック治療は痛いですか?

    A

    麻酔を使用するため痛みは最小限です。
    歯科用麻酔の技術が進歩しているため、治療中に強い痛みを感じることはほとんどありません。
    また、治療後の不快感についても丁寧にフォローいたします。

  • Q

    セラミック治療後に気をつけるべきことはありますか?

    A

    定期検診と適切な清掃習慣が最も大切です。
    ・定期メンテナンス
    ・噛み合わせのチェック
    ・ナイトガードの使用(必要な場合)
    ・正しいブラッシング
    こうした継続的なケアが、治療寿命を左右します。

審美治療は “あなたの人生に自信を取り戻す医療” です

当院では、単に白く美しい歯を作るだけでなく、“噛める美しさ” “機能と美の両立” を追求しています。
医師・技工士・歯科衛生士がチームとなり、最も美しく、長く健康な状態を実現する治療をご提供します。

CONTACT お問い合わせ
CONTACT

お問い合わせ

東京都目黒駅の歯医者・歯科 LOTUS DENTAL CLINIC東京
各種お問い合わせは下記よりお願いいたします。

ホームページ運営について

LOTUS DENTAL CLINIC東京の公式サイトは、患者さまに正確で信頼性の高い医療情報をお届けすることを目的として運営されています。
当院には、インプラント治療・歯周再生療法・全顎治療・審美歯科など、それぞれの分野で高度な専門知識と臨床経験を持つ歯科医師が在籍しており、すべての情報は歯科医師の監修のもとで作成・公開されています。
医療に関する情報は、正確性と倫理性が求められるものです。
そのため当院では、医療法および厚生労働省が定める「医療広告ガイドライン」を厳格に遵守し、科学的根拠に基づいた情報提供を徹底しています。

ページのトップへ戻る