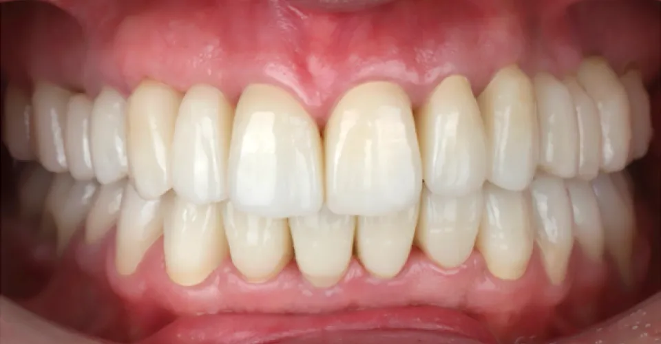
全顎治療専門の4つの約束
東京医科歯科大学 歯周病学分野での研鑽と、
10年以上にわたる難症例への挑戦。
歯がボロボロの方の
「見た目と機能回復」と「歯を残す」
ことに特化した歯科医師が、
あなたの未来をす。
-
Promise01
精密診断と設計 「崩壊の原因」を突き止め、
再発させないための設計図を描く。肉眼や二次元のレントゲンだけの判断で、いきなり削ることはありません。 当院では、歯科用CT(三次元解析)や咬合器を用いた精密検査を行い、骨の状態から顎の動きまでを立体的に把握します。「なぜボロボロになってしまったのか」を科学的根拠(エビデンス)に基づいて診断し、10年先を見据えた治療計画を立案します。
-
Promise02
再生医療による土台作り インプラントや
セラミックを支える「骨と歯茎」を蘇らせる。家を建てる時に地盤が重要であるように、全顎治療でも「土台」が命です。 私たちは、エムドゲインやリグロス、GBR法といった高度な「歯周組織再生療法」を駆使し、歯周病で失われた骨や歯茎を再生させます。強固な土台を作り上げることで、その後のインプラントや補綴治療の永続性を高めます。
-
Promise03
低侵襲・無痛治療 長時間の治療も安心。
心身に優しいストレスフリーな環境。全顎治療は治療範囲が広いため、身体的・精神的負担を心配される方も少なくありません。 当院では、点滴麻酔でリラックスした状態で手術を受けられる「静脈内鎮静法」や、マイクロスコープを用いた低侵襲外科(マイクロサージェリー)を導入。痛みや恐怖心を極限まで取り除き、眠っている間に終わるような快適な治療を提供します。
-
Promise04
根本解決(一口腔単位) 「機能」と「審美」を
同時に回復させるトータルコーディネート。見た目を綺麗にするだけでは、全顎治療は成功しません。噛み合わせのバランスが崩れたままでは、再び歯が壊れてしまうからです。 当院では、インプラント、矯正、セラミック治療を複合的に組み合わせ、お口全体を「一つの臓器」として治療します。根本から噛み合わせを整えることで、美しさと機能が調和した、生涯使い続けられる口腔環境を実現します。
無料CT / セカンドオピニオン対応
- 1時間の初回予約
- 無料CT診断
- 患者様に合わせた最適な治療提案
なぜ、あなたの歯は「ここまで」
崩れてしまったのか
部分治療では止められなかった、全顎崩壊のメカニズム
歯がボロボロになる原因は、「ケア不足」や「年齢」だけではありません。
歯周病・むし歯・欠損が連鎖し、
- 感染が広がる
- 噛み合わせが崩れる
- 一部の歯に過剰な力が集中する
この悪循環が続くことで、口腔全体が機能不全に陥るのです。
歯周ポケット深部や骨内部に潜む「感染の聖域」は、一般的な治療では完全に除去できません。
だからこそ、東京都の歯がボロボロの方の全顎治療専門外来を設ける当院では、全顎単位での診断と再設計が必要だと考えています。
失われた「噛む力」と「口腔バランス」を再構築する
LOTUS DENTAL CLINIC 東京(ロータスデンタルクリニック東京)が考える全顎治療とは、単に多くの歯を治すことではありません。
- 感染源を可視化し、徹底的に除去する
- 噛み合わせ・顎の動き・力のかかり方を再設計する
- 将来にわたり安定する口腔環境を構築する
この3つを同時に行う“口腔再建医療”です。
東京都の歯がボロボロの方の全顎治療専門外来を設ける当院では、マイクロスコープやCTを用いた精密診査により、肉眼では確認できない細菌感染や骨の状態まで把握したうえで、「残す歯・治す歯・補う歯」を全顎単位で判断していきます。
全顎治療におけるインプラント治療
骨量・噛み合わせ・全身状態を踏まえた
包括的インプラント計画
失われた歯の本数や顎の骨量、噛み合わせの状態、さらには全身の健康状態まで総合的に評価したうえで、必要最小限で最大限の機能回復を目指すインプラント設計を行います。
単に歯の数を補うことを目的とするのではなく、長期的な安定性と噛む力のバランスを重視した治療計画を立案するため、「本数を入れればいい」という考え方の治療は行いません。
全顎治療における骨再生・歯周再生
骨量不足を理由に、
治療の可能性を閉ざさないために
「顎の骨が足りないため、治療は難しい」と言われた方でも、すぐに選択肢を諦める必要はありません。
GBR法をはじめとする骨再生治療や再生材料、低侵襲外科を組み合わせることで、失われた骨の量や質を回復させ、インプラントや補綴治療を支える土台から再建します。
見た目だけでなく、将来にわたり安定して噛める環境を整えることを重視しています。
Regeneration
GBR法(骨再生誘導法)
- 01
GBR法(骨再生誘導法)
による骨量回復GBR法は、骨が不足している部位に骨補填材を填入し、特殊なメンブレン(膜)で覆うことで、骨が再生するためのスペースと時間を確保する治療法です。
周囲の軟組織が侵入するのを防ぎながら、骨の再生を促すことで、インプラントを安定して支えられる骨量の獲得を目指します。全顎治療においては、将来の噛み合わせを見据えた計画的な骨造成が重要となります。 - 02
再生材料を用いた
骨・組織の再構築骨再生治療では、自家骨や人工骨などの再生材料を症例に応じて適切に使い分けます。
骨の欠損量や質、治癒力を考慮しながら材料を選択することで、再生の成功率と長期的な安定性を高めます。単に骨の量を増やすことが目的ではなく、「噛む力に耐えられる質の高い骨」を再構築することを重視しています。 - 03
低侵襲外科による
身体への負担を抑えた治療骨再生治療は外科処置を伴うため、身体への負担をいかに抑えるかが重要です。
マイクロスコープを用いた低侵襲外科により、必要最小限の切開と処置で治療を行い、術後の腫れや痛みを軽減します。これにより回復を早めるだけでなく、再生環境を安定させ、全顎治療全体の成功率向上につなげます。
データに基づき導き出す、全顎治療の正確な診断基準
抜歯か保存かを、データで見極める全顎診断
東京都の歯がボロボロの方の全顎治療専門外来を設けるLOTUS DENTAL CLINIC 東京(ロータスデンタルクリニック東京)では、大学病院水準の精密検査をもとに、全顎単位で「残せる歯」「抜くべき歯」を慎重に見極めます。
肉眼的な印象や経験則だけに頼るのではなく、歯科用CTやマイクロスコープによって得られる客観的なデータを用い、歯・骨・噛み合わせの状態を総合的に評価します。将来の安定性まで考慮したうえで、保存と再建の最適なバランスを判断します。
全顎治療の精度を左右する
LOTUS DENTAL CLINIC 東京(ロータスデンタルクリニック東京)の検査体制
東京の歯がボロボロの方の全顎治療専門外来LOTUS DENTAL CLINIC 東京(ロータスデンタルクリニック東京)では、歯科用CTによる三次元解析、マイクロスコープを用いた拡大視野での観察、咬合分析を組み合わせ、口腔内の状態を立体的かつ総合的に把握します。
見た目や経験則だけに頼らず、得られた検査結果をもとに、歯・骨・噛み合わせの状態を客観的に評価し、将来の安定性まで見据えた治療方針を立案します。無理に歯を残すことも、安易に抜歯を選択することもありません。
- 01
歯科用CT
(三次元画像解析)平面画像では判別が困難な、骨吸収の立体的な形態(垂直性骨欠損など)や、病巣の広がりを三次元で詳細に解析します。再生療法の適応可否を左右する決定的な判断材料となります。
- 02
マイクロスコープ
(歯科用顕微鏡)最大20倍以上の拡大視野下において、歯根表面のマイクロクラック(微細な亀裂)や、根管内の感染源の取り残しを徹底的に精査します。
- 03
咬合分析
(噛み合わせ・力の解析)噛んだときの接触位置や力のかかり方、顎の動きの癖を客観的に評価し、特定の歯やインプラント部位に負担が集中していないかを精密に確認します。全顎治療における設計精度と、治療後の長期安定性を左右する重要な判断材料となります。
アプローチ
「感染」と「力」を同時に制御する
全顎咬合再建アプローチ
全顎治療の要は「噛み合わせ」にあります 噛み合わせが崩れた状態では、どれほど精密な治療や高品質な補綴物を用いても、特定の歯やインプラントに過度な力が集中し、トラブルを繰り返す原因となります。
LOTUS DENTAL CLINIC 東京(ロータスデンタルクリニック東京)では、歯一本単位ではなく口腔全体を一つのシステムとして捉え、噛む力のバランスや顎の動きを考慮した全顎咬合再建を治療の中心に据えています。歯がボロボロの方や全顎治療が必要な患者様でも、長期的に安定した口腔環境の構築を目指します。
症例紹介
症例1

- 治療名
- 全顎治療 (咬合治療 審美治療)
インプラント治療 6本
ジルコニアクラウン 10本
ジルコニアセラミッククラウン5本
合計28本の治療 - 患者様
- 60代 女性
- 執刀医
- Dr.矢野
- 治療内容
- 長期にわたる下顎臼歯部の欠損とそれに伴う咀嚼機能の低下、不適合補綴装置による多数歯の二次カリエス、前歯部の審美障害を改善するために、理想的な咬合平面を設定した咬合治療と、下顎両側臼歯部インプラント、上顎両側臼歯部ジルコニアクラウン、上顎前歯部ジルコニアセラミッククラウンの治療を行った。
- 治療期間
- 20ヶ月
- 治療費
- ¥4,600,000
- リスク
- インプラント手術と造骨手術を行ったため、それに伴う術後の合併症の可能性と、術後疼痛などの症状
症例2

- 治療名
- 全顎治療(咬合治療、審美治療)
インプラント治療 2本
ジルコニアクラウン 14本
ジルコニアセラミッククラウン 12本
合計28本の治療 - 患者様
- 50代 男性
- 執刀医
- Dr.矢野
- 治療内容
- 全顎的な不適合補綴装置の再治療を行なった症例。マージン部のカリエスが目立ち、オーバーカントゥア、ロングスパンブリッジによるポンティック部の不良な清掃性により、セルフケアが困難な状態であった。二次カリエスにより保存不可能な歯も存在した。中心位で顎位を記録し、全顎的な診断用ワックスアップを製作し、プロビジョナルレストレーションに置換したのち、インプラント外科、クラウンレングスニング、軟組織移植による顎堤増大術を行った。ブリッジ設計を用いて、インプラントの埋入本数は最小限に抑えた治療計画で治療を進めた。
- 治療期間
- 11ヶ月
- 治療費
- ¥5,260,000
- リスク
- インプラント手術と造骨手術を行ったため、それに伴う術後の合併症の可能性と、術後疼痛などの症状深部カリエスの際の露髄のリスク、術後一過性の知覚過敏
LOTUS DENTAL CLINIC東京は、歯周病治療専門の歯科医院として、歯科治療のイメージを大きく覆すかもしれません。 LOTUS DENTAL CLINIC東京は、精密全顎治療専門外来のクリニックとして、従来の歯科治療の常識を超えた選択肢を提示します。 LOTUS DENTAL CLINIC東京は、高難度のインプラント治療や 歯科治療は、
あなたの「人生の質」そのものを
支える
医療であるべきだと、私たちは考えます。
私たちが提供したいのは、単なる機能の修復ではありません。
その先にある、
「美味しく食事ができる喜び」「人前で思いきり笑える自信」「10年後も健康でいられる安心」
――つまり、患者様の「人生の質(QOL)」そのものを高めることが、私たちの目指す医療のゴールです。
このショート動画では、矢野院長が日々どのような想いで患者様と向き合い、治療計画を立てているのか、その核心に触れていただけます。全顎治療は、
失われた歯を補うだけの治療ではなく、
あなたの「人生の質」そのものを立て直す
医療であるべきだと、私たちは考えます。
私たちが目指すのは、単に噛める状態を回復させることではありません。その先にある、「食事を心から楽しめる喜び」「自然な口元で笑える自信」「10年後、20年後も安心して噛み続けられる未来」――つまり、患者様の生活全体を支える全顎治療こそが、私たちの医療のゴールです。
このショート動画では、矢野院長がどのような想いで全顎治療に向き合い、一人ひとりの人生を見据えた治療計画を立てているのか、その本質に触れていただけます。「インプラントの専門家」が、
精密根管治療にこだわる理由
歯周病治療において多くの実績を持つクリニックです。
しかし、私たちは決して「インプラントありき」の診断はいたしません。むしろ、インプラントという優れた人工歯を知り尽くしているからこそ、「持って生まれた天然歯(ご自身の歯)」の機能的優位性や、そのかけがえのなさを誰よりも深く理解しているからです。
歯周病学の研鑽と再生医療の科学を追求した専門医
所属学会
- ・日本歯周病学会
- ・日本臨床歯周病学会
- ・日本口腔インプラント学会
- ・日本再生医療学会
- ・AO(Academy of osseointegration)会員
- ・ITI (international team for implantology)会員
経歴
- ・岡山大学歯学部卒業 DDS
- ・東京医科歯科大学博士課程 卒業 Ph
- ・Osstem Japan インストラクター
歯を失うことで生じる変化と、見過ごされがちなリスク
歯は単に食べ物を噛み砕くための器官ではありません。
言葉を正確に発音し、表情をつくり、日常生活を快適に送るために欠かせない重要な役割を担っています。
そのため、たとえ1本であっても歯を失うと、口腔内だけでなく、見た目や心理面、さらには全身の健康にまで影響が及ぶ可能性があります。
-
噛み合わせや発音への影響
健康な状態では、上下の歯が適切に噛み合い、噛む力が全体に均等に分散されています。
しかし歯を失うと、このバランスが崩れ、残っている歯に過剰な負担が集中します。その結果、歯のひび割れや動揺が起こりやすくなり、連鎖的に他の歯まで失ってしまうケースも少なくありません。
また、欠損部位によっては発音にも影響が出ます。特に前歯を失うと、「さ行」「た行」などの発音が不明瞭になり、会話の中で聞き返されることが増えることがあります。こうした経験が積み重なることで、人と話すことに消極的になり、自信を失ってしまう方もいらっしゃいます。 -
顔貌や表情の変化
歯を失った部位では、歯を支えていた歯ぐきや歯槽骨が時間の経過とともに痩せていきます。
骨量が減少すると、頬や口元の支えが失われ、口角が下がったり、ほうれい線が目立つなど、実年齢より老けた印象を与えてしまうことがあります。
特に前歯の欠損は見た目への影響が大きく、人前で笑うことをためらったり、写真を撮る際に口元を隠してしまうなど、心理的な負担を抱える原因にもなります。こうした心の変化は、日常生活や人間関係、仕事の場面にも影響を及ぼしかねません。 -
残った歯や全身への悪影響
歯を失った状態を放置すると、隣の歯が傾いたり、噛み合う歯が伸びてくるなど、歯並びや噛み合わせの乱れが進行します。
噛み合わせの悪化は顎関節への負担となり、顎の痛みだけでなく、肩こりや頭痛などの不調を引き起こすこともあります。
歯の欠損は、「噛む・話す・見た目」という日常生活の基本的な機能すべてに影響します。
失った状態が長く続くほど、治療は複雑になり、選択肢も限られてしまいます。将来にわたって健康で快適な生活を送るためにも、できるだけ早い段階で適切な治療を検討することが大切です。
なぜ「早い段階での治療」が重要なのか
歯を失った状態や、歯が大きく損傷したままの状態を放置してしまうと、見た目や噛み心地の問題だけでなく、将来的にさまざまなリスクが生じる可能性があります。
骨吸収が進行すると、治療の難易度は高まります
歯を失うと、その歯を支えていた顎の骨(歯槽骨)は役割を失い、徐々に痩せていく「骨吸収」が始まります。
骨量が減少すると、インプラントなどの補綴治療を行う際に十分な支えが確保できず、骨造成と呼ばれる外科処置が必要になる場合があります。
骨造成は治療期間が長くなるだけでなく、身体への負担や費用面の負担も増加します。さらに、骨吸収は時間とともに進行するため、長期間放置してしまうと、当初は選択可能だった治療法が適応できなくなることもあります。早期治療は、将来の選択肢を守ることにもつながります。
噛む力の低下は、食生活と満足度を大きく左右します
歯が欠けたり、噛みにくい状態が続くと、無意識のうちに硬い食材や繊維質の多い食品を避けるようになります。
その結果、やわらかい物中心の食生活になり、栄養の偏りや摂取量の低下を招きやすくなります。これは体力や免疫力の低下にもつながりかねません。
また、噛む力の低下は栄養面だけでなく、「食べる楽しみ」そのものを損ないます。好きな料理を自由に味わえないことは、家族や友人との食事の時間にも影響し、日常生活の満足度を下げる要因となります。
口腔機能の低下は、全身の健康にも影響します
噛む力が低下した状態は、口腔内だけの問題にとどまりません。
近年では、咀嚼機能の低下と認知機能との関連性が指摘されており、噛む動作が減ることで脳への刺激が少なくなる可能性が示されています。噛むことは脳の血流を促し、神経活動を活性化させる重要な役割を担っています。
さらに、十分に噛まずに食事をする習慣は胃腸への負担を増やし、消化不良や栄養吸収の低下を引き起こします。こうした状態が続くと、筋力や免疫力の低下を招き、生活習慣病やフレイル(虚弱)のリスクが高まることもあります。
歯の欠損や重度の損傷は、時間が経つほど影響が広がります。
将来の健康と快適な生活を見据え、できるだけ早い段階で適切な治療を検討することが大切です。
早期に治療へ踏み出すことで
得られるもの
歯の欠損や大きな損傷は、時間の経過とともに状態が安定することはほとんどなく、放置するほど問題が複雑化していきます。
噛み合わせの乱れや骨の減少が進行すると、治療の工程が増え、身体的な負担だけでなく、治療にかかる期間や費用も大きくなりがちです。
一方で、早い段階で適切な治療を行うことで、
必要以上に治療を重ねるリスクを抑え、結果的に負担を軽減できる可能性があります。
東京都の歯がボロボロの方の全顎治療専門外来を設ける当院では、噛む機能を回復させることで、食事を楽しむ時間や、人と会話する場面、自然な笑顔を見せられる日常を、より長く保つことにもつながると考えています。
「今はまだ大丈夫」「もう少し様子を見てから」と判断を先延ばしにしてしまうことが、将来的に選択肢を狭めてしまうケースも少なくありません。
将来の健康と快適な生活を守るためにも、違和感や不安に気づいた時点で、早めに専門的な診断を受けることが大切です。
放置することで進行する、見えない悪化のリスク
歯を失った状態や、歯が大きく損傷したままの状態を「今は特に困っていないから」とそのままにしてしまうことは、見た目や噛み心地の問題だけにとどまりません。
口腔内では自覚症状が乏しいまま変化が進み、やがて歯列全体や噛み合わせが悪化し歯がボロボロになり、さらには全身の健康にまで影響が及ぶ可能性があります。こうした悪化はゆっくりと、しかし確実に進行し、気づいたときには治療が複雑化し、長期的な通院や大きな負担を伴うケースも少なくありません。
健康な歯を次々と失う「連鎖的な崩れ」
歯は1本ずつ独立して存在しているように見えますが、実際には隣り合う歯や噛み合う歯と連動し、全体のバランスを保ちながら機能しています。
1本でも歯を失うと、その空隙に向かって隣の歯が傾いたり、噛み合う歯が伸びてきたりして、噛み合わせの乱れが生じます。その結果、残っている歯に過度な力が集中し、歯の破折や動揺、歯周病の進行を招きやすくなります。
このような状態が続くと、最初は小さな欠損であっても、時間の経過とともに複数の歯を失う「連鎖的な崩れ」へと発展することがあります。
骨や歯ぐきの退縮による、機能と見た目の変化
歯を失った部位や、重度に損傷した歯を放置すると、その歯を支えていた顎の骨や歯ぐきは徐々に痩せていきます。
この退縮が進行すると、入れ歯やブリッジの安定性が低下しやすくなり、インプラント治療を行う場合には、骨造成などの追加処置が必要となるケースもあります。
さらに、骨や歯ぐきのボリュームが減少すると、口元の支えが失われ、頬がこけたり口角が下がったりするなど、見た目の変化が生じることもあります。こうした変化は、機能面だけでなく、表情や自信、日常生活の質にも大きな影響を与えます。
時間とともに狭まっていく治療の選択肢
こうした悪化はゆっくりと、しかし確実に進行し、気づいたときには治療が複雑化し、長期的な通院や大きな負担を伴うケースも少なくありません。歯科治療は、早い段階であれば複数の治療法の中から、その方に適した選択が可能です。
しかし、欠損や損傷を長期間放置すると、骨吸収や歯列の乱れが進行し、適用できる治療法が限られてしまいます。
例えば、欠損直後であれば選択できた治療が、時間の経過によって骨造成や噛み合わせの再構築を先に行わなければならなくなり、治療期間や費用の負担が増えることがあります。場合によっては、希望していた治療自体が適応できなくなる可能性も否定できません。
「放置」は口腔崩壊の入口です
歯の欠損や重度の損傷をそのままにすることは、気づかないうちに進行する「口腔全体の崩れ」の始まりとも言えます。
時間が経つほど健康な歯を守ることは難しくなり、治療はより複雑になります。
早い段階で治療に取り組むことで、健康な歯を守り、噛む機能と見た目の両方を長く維持することが可能になります。
将来の笑顔と生活の質を守るためにも、先延ばしにせず、今できる最善の一歩を踏み出すことが大切です。
全顎治療の流れ
ゴールまでのロードマップ
焦らず、確実に。
未来の健康を作るためのステップ
- 01
精密検査
コンサル
テーション - 02
初期治療
(環境改善) - 03
外科的処置
(インプラント
・再生療法) - 04
仮歯への
置き換え
咬合調整 - 05
最終補綴
- 06
メンテナンス
-
Step01精密検査・コンサルテーション
CT、口腔内写真、咬合診断などに基づき、治療の難易度や予後まで含めた詳細な情報を提供。複数の治療計画をご提示します。
-
Step02初期治療(環境改善)
まずは痛みを取り除き、徹底的なクリーニングと歯周病治療、感染根管治療を行ってお口の環境をリセットします。
-
Step03外科的処置(インプラント・再生療法)
計画に基づき、インプラントの埋入や骨造成術、歯周組織再生療法を行います。(麻酔科医連携)
-
Step04仮歯への置き換え・咬合調整
お口全体を仮歯に置き換え、機能回復のリハーサルを行います。この期間に噛み合わせを完全に確立します。
-
Step05最終補綴
仮歯で確立した噛み合わせを元に、最終的なセラミッククラウンなどを装着します。
-
Step06メンテナンス
治療終了後が本当のスタートです。作り上げた理想的な状態を生涯維持するために、専任衛生士が継続的に管理します。
精密歯周病治療を実現する
高度設備・快適空間
よくある質問
いいえ、ご安心ください。
即日あるいは短期間で精巧な仮歯(プロビジョナル)をご用意します。見た目だけでなく、噛む機能もあるため、日常生活やお食事に支障が出ないよう最大限配慮しながら治療を進めます。
私たちは歯科医療のプロフェッショナルとして、多くの難症例を経験しています。どのような状態であっても、決して驚いたり責めたりすることはありません。プライバシーが守られた完全個室で、安心してお悩みをお話しください。
残せる可能性を極限まで追求しますが、無理な延命は行いません。
医学的に見て「残すことで周囲の健康な骨まで影響が広がる」と判断される場合は、正直に抜歯をご提案し、インプラントなどで機能を回復する代替案をご説明します。
お口の状態や治療範囲(残せる歯の本数、骨量、噛み合わせの再構築の必要性)によって異なります。
初診時の精密検査で全体像を把握したうえで、治療のステップと見通し(目安の期間)をできるだけ具体的にご案内します。
麻酔を適切に行い、痛みを抑えながら進めます。
不安が強い方や外科処置が必要な方には、状態に応じて静脈内鎮静法なども選択肢としてご案内できます。治療への恐怖心がある場合も、遠慮なくご相談ください。
はい、可能です。
全顎治療は「インプラント一択」ではありません。歯の残存状況やご希望、ご予算、将来のメンテナンス性を踏まえ、ブリッジ・義歯(入れ歯)・インプラントを組み合わせた計画など、現実的な選択肢を比較しながらご提案します。
はい、もちろん可能です。
「抜歯が必要と言われた」「治療方針に迷っている」など、判断が難しいケースほど、客観的な視点が重要になります。現在の治療内容や資料(レントゲン、治療計画書等)があれば拝見し、治療の選択肢と考え方を丁寧に整理してお伝えします。
全顎治療は「治して終わり」ではなく、維持管理が結果を左右します。
噛み合わせの管理、定期的なメンテナンス、セルフケアの最適化を継続することで、再トラブルのリスクを抑えやすくなります。当院では治療後も状態に合わせて、無理のない管理計画をご提案します。
お支払い方法について
各種クレジットカードや電子マネーでの決済が可能となっています。
また、デンタルローン会社と提携し、患者様の治療費のお支払いをサポートしております。(最大120回払い)
ご予約はこちら
東京の歯がボロボロの方の全顎治療専門外来
LOTUS DENTAL CLINIC(ロータスデンタルクリニック)東京なら、
「抜くしかない」と諦めかけていた
その歯に、
もう一度、命を吹き込むことが
できるかもしれません。




