ファーストビュー
wisdom

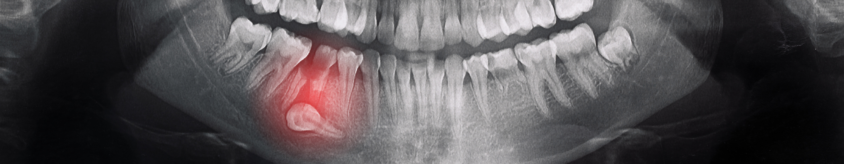
親知らずの抜歯(口腔外科)

1.親知らずのトラブルは「早期対応」で未来が変わる

親知らずは、ただの“奥歯の1本”ではありません。
生え方や方向によっては、痛み・腫れ・虫歯・歯周病・噛み合わせの乱れなど、口腔環境全体に深刻な影響を与えることがあります。
しかし実際には、
「まだ痛くないから大丈夫」
「抜くのは怖いから後回し…」
という理由で放置されるケースが少なくありません。
東京都目黒駅で親知らずの抜歯(口腔外科)を行う歯医者・歯科のLOTUS DENTAL CLINIC (ロータスデンタルクリニック)東京では、親知らずのリスクを“根本から理解し、適切なタイミングを逃さないこと”が、長期的な口腔健康を守る最も重要なポイントだと考えています。

親知らずが招く代表的なリスクとは

親知らずの問題は、症状が出る頃にはすでに進行していることが多く、気づかないうちに次のようなトラブルを引き起こします。

 ① 隣の歯の虫歯・歯周病を引き起こす

親知らずは歯ブラシが届きにくいため、斜め・横向きに生えているほど汚れが溜まりやすく、手前の大切な奥歯(第二大臼歯)が虫歯・歯周病になるリスクが高まります。
実際に、重度の虫歯や歯周病で奥歯を失う原因として「親知らずによる圧迫・炎症」が関与しているケースは多く見られます。

② “智歯周囲炎”による強い腫れ・痛み

親知らずの周囲に細菌が侵入すると、突然の激痛・腫れ・発熱を伴う智歯周囲炎が発生します。
繰り返すたびに歯ぐきは損傷し、炎症は慢性化。
顔が腫れて食事ができないほど悪化するケースもあります。

③ 嚢胞(骨の中の病変)ができることも

レントゲン・CT検査で初めて見つかることも多く、放置すると顎の骨を圧迫して変形させたり、周囲の歯を巻き込む危険性があります。

④ 噛み合わせや歯列に影響することも

外側に向かって生える親知らずは、前歯の歯並びを乱したり、噛み合わせのバランスを崩す原因となることがあります。
これらのリスクは、痛みを感じてからでは手遅れに近く、早期診断による適切な判断が不可欠です。

痛みが出る前に専門的診断が必要な理由

親知らずの厄介な点は、“自覚症状がないまま進行し、突然大きな問題として現れる”ところにあります。
LOTUS DENTAL CLINIC (ロータスデンタルクリニック)東京では、


  •  CTによる立体的診断

  • 神経・血管との位置関係の精密解析
  • 将来リスクを予測する診断モデル


を用いて、親知らずの状態を見える化します。

  • 抜いた方が良い親知らず

  • 経過観察で良い親知らず

  • 温存したほうがメリットがある親知らず

これらを科学的根拠に基づいて判断し、患者様へ分かりやすくご説明いたします。

特に、

  • 痛みはないのに虫歯が進行している

  • CTで嚢胞が見つかった

  • 隣の歯の骨が溶けていた


というケースは珍しくありません。

だからこそ、
「痛くも腫れてもいないから大丈夫」は一番危険なサインなのです。

“親知らずを抜く=怖い”を変えるために

多くの患者様が、「腫れそう」「痛そう」「怖い」「失敗しそう」と不安を抱えています。
LOTUS DENTAL CLINIC (ロータスデンタルクリニック)東京では、大学病院レベルの設備と外科体制を整え、難症例にも対応できる技術と経験を持つ医師が担当します。
さらに


  •  静脈内鎮静法によるリラックス状態での抜歯
  • 生体モニター管理の安全な外科体制

  • 個室の静かな空間

  • 術後の腫れ・痛みを最小限に抑える術式


により、これまで抜歯をためらっていた患者様も安心できる治療環境を整えています。

親知らずの診断は“将来の歯を守る医療”です

親知らずそのものより、親知らずが原因で大切な奥歯を失うリスクのほうがはるかに深刻です。
だからこそ、

  • 痛みがなくても

  • レントゲンで問題がなくても

  • 何年も放置していても

一度、精密診断を受けることをおすすめしています。

2.親知らずの抜歯は「専門性」が結果を大きく左右します

親知らずの抜歯は、歯科治療の中でも難易度の幅が非常に大きい分野です。
真っ直ぐ生えているケースであれば比較的容易な処置で済みますが、多くの患者様は 横向き・斜め・深い位置で埋まっている難症例 に該当します。

そのため、
「どの歯科医院で抜くのか」
「どのレベルの診断を行うのか」
によって、痛み・腫れ・合併症のリスクが大きく変わります。

LOTUS DENTAL CLINIC (ロータスデンタルクリニック)東京では、口腔外科・インプラント外科で経験を積んだ歯科医師が対応し、大学病院レベルの精密診断と外科技術を基盤に、できる限り安全で、身体への負担を最小限にした抜歯を行っています。

CT解析による立体診断 ― リスクの「見える化」

親知らずの判断に欠かせないのが 歯科用CTによる三次元解析 です。
レントゲンでは平面でしか状況を把握できませんが、CTは以下を立体的に確認できます。

  • 神経(下歯槽神経)との距離
  • 骨の厚み・形態
  • 歯根の湾曲や分岐の状態
  • 親知らずがどの方向に向かっているのか
  • 嚢胞(骨の病変)の有無

これらの情報を正確に把握することで、術中の不要な出血や神経トラブルを避ける戦略を立てることが可能になります。
「抜歯できるかどうか」ではなく最も安全で、最も負担の少ない抜歯方法はどれかという視点で診断を行っています。

難症例にも対応できる外科スキルと設備

埋伏歯、湾曲根、神経近接などの難症例では、医師の外科技量と設備環境が大きく結果に影響します。
LOTUS DENTAL CLINIC (ロータスデンタルクリニック)東京では、

  • マイクロスコープによる拡大視野での処置
  • 歯科用超音波器具(ピエゾサージェリー)での低侵襲切削
  • 滅菌管理が徹底された個室オペ環境
  • 血管確保・生体モニターでの全身管理

など、大学病院と同等レベルの外科システムを導入しています。
これにより、神経損傷リスクを抑え、腫れや痛みを最小限に抑えた抜歯が可能になります。

痛みや恐怖心を軽減するための「静脈内鎮静法」

「抜歯が怖い」「嘔吐反射が強くて辛い」
そう感じる患者様は少なくありません。

そこでLOTUS DENTAL CLINIC (ロータスデンタルクリニック)東京では、必要に応じて静脈内鎮静法(リラックス麻酔)を併用します。

  • 治療中の記憶がほとんど残らない
  • 痛み・恐怖心・緊張が大きく軽減
  • 長時間の外科処置も楽に受けられる

全身管理に長けた医師のもと、生体モニターで安全を確保しながら施術します。

術後の治癒を高めるためのアフターケア体制

抜歯は抜いたら終わりではありません。
術後の過ごし方で腫れ・痛み・感染リスクは大きく変わります。

当院では、

  • 炎症を抑える薬の処方
  • 術後の正しい過ごし方の説明
  • 必要に応じた洗浄・チェック
  • 骨の治癒を促す追加処置(必要時)

など、術後管理まで徹底しています。

そのため、「想像していたより楽だった」というお声をいただくことも多くあります。

3.LOTUS DENTAL CLINIC (ロータスデンタルクリニック)東京が行う“親知らず治療の特徴”

親知らずの抜歯は、単なる「歯を抜くだけの処置」ではありません。
親知らずの状態、骨の厚みや形態、神経との距離、感染の有無など、複数の要素を総合判断して初めて、安全かつ確実な抜歯が可能になります。

東京都目黒駅で親知らずの抜歯(口腔外科)を行う歯医者・歯科のLOTUS DENTAL CLINIC (ロータスデンタルクリニック)東京では、世界水準の精密外科治療をコンセプトに、大学病院と同等以上の診断・外科環境を整え、患者様の負担を最小限に抑えた親知らず治療をご提供しています。

① 三次元CT診断による「誤差のない精密解析」

親知らず抜歯で最も重要なのは診断です。
LOTUS DENTAL CLINIC (ロータスデンタルクリニック)東京では全症例において 歯科用CT3D解析) を用い、以下の状態を立体的に評価します。

  • 神経(下歯槽神経)との距離
  • 歯根の曲がり具合
  • 親知らずの角度・埋まり具合
  • 骨の厚み・密度
  • 嚢胞・炎症などの付随病変

特に、神経が近い場合はシミュレーションソフトで、術中のリスクを可視化し、術式変更や慎重なアプローチを計画します。

「抜歯が必要か」ではなく、最も安全な方法はどれか に基づき判断するのがLOTUS DENTAL CLINIC (ロータスデンタルクリニック)東京の基準です。

 

 

② 大学病院レベルの外科スキルで“難症例にも対応”

横向き・完全埋伏・神経接触などの難症例では、医師の外科スキルが治療結果に直結します。
LOTUS DENTAL CLINIC (ロータスデンタルクリニック)東京では、

  • 口腔外科・インプラント外科で多数の症例を経験した歯科医師
  • 神経・血管の位置を考慮した安全な外科操作
  • ピエゾサージェリーによる低侵襲切削
  • 術野の明瞭化を図るマイクロスコープ活用

などを駆使し、無理をしない丁寧な外科処置を徹底しています。

結果として、術後の痛み・腫れ・合併症リスクが大幅に軽減されます。

 

③ 痛み・恐怖に配慮した“リラックス外科治療”

「抜歯が怖い」「嘔吐反射が強い」「緊張すると動悸がする」
こうした理由から治療を躊躇される方は少なくありません。

必要に応じて、静脈内鎮静法(リラックス麻酔) を併用し、

  • 治療中の不安・恐怖心がほぼ消える
  • 眠っているような感覚で受けられる
  • 長時間の外科処置も快適
  • 動きや反射が出にくく、安全性が高い

といったメリットを提供しています。

外科治療の安全性と快適性を同時に高められるため、恐怖心が強い方も安心して受けられるオプションです。

④ 術後の治癒を高める“トータルサポート体制”

LOTUS DENTAL CLINIC (ロータスデンタルクリニック)東京が重視しているのは、抜歯後の回復まで責任を持って伴走することです。

  • 術後48〜72時間の腫れを最小限にする抗炎症対策
  • 必要に応じた洗浄・経過チェック
  • 症例に応じた内服薬の処方
  • 術後の注意点を徹底してわかりやすく説明
  • 骨の治癒を促進する再生補助処置も選択可能

術後の不安をゼロにするため、いつでも相談できる体制を整えています。

親知らず治療も「精密・安全・長期視点」で選ぶ時代へ

親知らずの抜歯は、その後の噛み合わせ・歯並び・歯周病リスクにも影響します。

だからこそ、診断力・外科技術・術後管理 のすべてを兼ね備えた精密治療型のクリニックでの対応が重要です。

 

4.親知らずは「抜くべきか残すべきか」専門的判断が必要です

親知らずは、すべての人が抜かなければならない歯ではありません。
しかし、抜歯の判断を誤ると、将来の歯並び、歯周病リスク、噛み合わせ、さらには顎関節のバランスにまで影響を及ぼすことがあります。

東京都目黒駅で親知らずの抜歯(口腔外科)を行う歯医者・歯科のLOTUS DENTAL CLINIC (ロータスデンタルクリニック)東京では、「抜歯する・しない」ではなく、将来の健康が最大化する選択はどちらかを基準に判断します。

口腔を一つのシステムとして捉え、長期的視点で評価しながら最適な選択肢をご提案します。

① 親知らずを残すメリット・デメリットを総合的に分析

親知らずがまっすぐ生え、噛み合わせに参加し、清掃性に問題がない場合は、「残す」メリットもあります。

しかし実際には、多くの親知らずは以下のようなリスクを抱えています。

  • 半埋伏で汚れが溜まりやすい
  • 隣の歯(第二大臼歯)を虫歯・歯周病にする
  • 強い痛み・腫れ・炎症を繰り返す
  • 嚢胞(のうほう)ができる
  • 噛み合わせを乱し、歯列不正の原因となる

特に、隣の歯への影響は深刻です。
親知らずのトラブルによって、本来健康であった大切な永久歯を失うケースは少なくありません。

LOTUS DENTAL CLINIC (ロータスデンタルクリニック)東京では、ただ痛みを取るために抜歯を提案するのではなく、将来の健康を守るための判断として評価を行います。

② 自覚症状がなくても“早期精密診断”が重要な理由

親知らずは、症状が出る頃には状態がかなり悪化していることが多い歯です。

痛みがないからと放置すると

  • 知らぬ間に隣の歯が虫歯で崩壊
  • 歯周病が深部まで進行
  • 嚢胞が大きくなり骨が溶ける
  • 将来の矯正治療に悪影響
  • 埋伏状態で炎症を繰り返す

このように、 「問題が表面化した時には手遅れになっている」 という特徴があります。
LOTUS DENTAL CLINIC (ロータスデンタルクリニック)東京では、初診段階で必ず歯科用CTを撮影し、トラブルの有無だけではなく、将来起こり得るリスクまで見据えて診断します。

症状の有無ではなく、科学的根拠に基づく予測診断によって、最適なタイミングでの抜歯・経過観察をご提案しています。

③ 将来の口腔環境を守る「ベストタイミングでの抜歯」

親知らずには 抜歯に最適な時期 が存在します。

特に下顎の横向きの親知らずは、年齢とともに骨が硬くなり、神経との距離も変化し、抜歯が難しくなる傾向があります。

10〜20代前半
  • 骨が柔らかく治りが早い、神経リスクが低い
30代以降
  •  骨が硬くなり、合併症リスクが少しずつ増加
40〜50代
  • 歯周病が進行し、抜歯後の治癒に時間がかか

LOTUS DENTAL CLINIC (ロータスデンタルクリニック)東京では、患者様の年齢・骨の状態・炎症の有無を総合的に判断し、「抜くならいつが最善か」 を明確に提示します。

早期診断によって、手術の難易度・治療期間・術後の痛みが大きく変わるため、将来の口腔健康に直結する重要なポイントです。

 

 

 

5.痛みと腫れを最小限に抑えるための“低侵襲な抜歯技術”

親知らずの抜歯に対して、「腫れるのが怖い」「痛みが心配」という不安は多くの患者様が抱える共通の悩みです。
しかし、痛みや腫れの大きさは、外科処置の質によって大きく差が生まれます。

LOTUS DENTAL CLINIC (ロータスデンタルクリニック)東京では、大学病院レベルの外科技術を基盤に、低侵襲(ミニマルインターベンション)を徹底した抜歯 を行っています。

① 低侵襲抜歯の基本は、精密な事前診断から始まる

抜歯の腫れや痛みの大きさを左右するのは、どれだけ丁寧に処置できるか──
つまり どれだけ正確に事前情報を把握しているか が非常に重要です。

LOTUS DENTAL CLINIC (ロータスデンタルクリニック)東京では、抜歯前に必ず

  • 歯科用CT(3D画像)で神経・血管との距離を把握
  • 歯根の形態・湾曲・分岐の有無を確認
  • 炎症の有無、骨の厚み、歯の深さを評価
  • 顎の動き・筋肉の緊張・口の開き具合をチェック

これにより、実際の抜歯操作の流れを術前にほぼ再現できるため、処置中の迷いがなくなり、歯ぐきや骨への不必要な負担を避けられます。

診断の精度こそ、低侵襲の第一歩なのです。

② 歯ぐきの切開を最小限にする外科テクニック

親知らずの抜歯では、歯ぐきを大きく切開する医院もありますが、切開量が増えるほど術後の腫れ・痛みも増加します。

東京都目黒駅の歯医者・歯科LOTUS DENTAL CLINIC (ロータスデンタルクリニック)東京では、

  • 切開線を必要最小限に
  • 周囲組織を傷つけない極細メスを使用
  • 剥離(歯ぐきを開く工程)を丁寧に行う

といった細かな配慮を徹底し、最小限の侵襲で最大限の視野 を確保する技術を採用しています。

これにより、治癒のスピードが早まり、術後の違和感が大幅に軽減されます。

 

③ 歯を“割り方”で抜歯の難易度や腫れが大きく変わる

埋伏した親知らずは、歯をそのまま引き抜くのではなく、適切に分割抜歯する ことが極めて重要です。

LOTUS DENTAL CLINIC (ロータスデンタルクリニック)東京では、CTで把握した歯根の形態と骨の状態に応じて、最も侵襲の少ない分割設計を行います。

  • 無駄な骨削除を減らす
  • 神経・血管にできる限り近づかない
  • 早く、安全に取り出せる切断ラインを設定

これにより、処置時間の短縮だけでなく、術後の痛み・腫れ・出血が大きく軽減されます。
分割の技術こそ、親知らず抜歯の質を左右する重要なポイントです。

④ 骨削除(ドリリング)を最小限にしてダメージを減らす

親知らずの周囲には厚い骨があるため、状態によっては一部を削る必要があります。
しかし、骨削除は大きくなればなるほど術後の腫れや痛みが増えます。

LOTUS DENTAL CLINIC (ロータスデンタルクリニック)東京では、

  • 最小限の骨削除に留める設計
  • 熱ダメージを防ぐため十分な注水・低回転ドリルを使用
  • 骨や組織を傷つけない角度・深度でのアプローチ

といった、外科的ストレスを抑える操作を徹底しています。
骨への負担を最小限に抑えることが、術後の快適さを大きく左右するのです。

 

⑤ 術後の炎症と感染を防ぐための“高レベル滅菌環境”

精密な外科処置を支えるのは、国際基準の滅菌・感染管理です。
当院では、

  • ヨーロッパ基準クラスB滅菌器
  • 個室空間での衛生的な外科環境
  • 手術器具はすべて患者様ごとに完全滅菌

抜歯は「外科手術」であり、感染対策のレベルによって治療結果も大きく変わります。

安全性と衛生環境へのこだわりは、患者様に安心して治療を受けていただくための大前提です。

6.親知らずを放置すると起こる“将来の深刻なリスク”

「痛くなったら抜けばいい」
「今は症状がないから様子を見たい」

親知らずに関して、こうしたご相談は非常に多くあります。
しかし、親知らずは 放置した期間に比例してリスクが高まる歯 であり、症状が出る前に進行しているケースがほとんどです。

東京都目黒駅の歯医者・歯科LOTUS DENTAL CLINIC (ロータスデンタルクリニック)東京では、今だけを見る治療ではなく、5年後・10年後の口腔環境まで見据えた長期的視点 で診断を行っています。

① 隣の歯(第二大臼歯)を虫歯にするリスクが非常に高い

最も多いトラブルが、親知らずの影響で隣の歯が虫歯になる というものです。

親知らずが斜めや横向きに生えていると、歯と歯の隙間に汚れが溜まりやすく、そこから虫歯が進行してしまいます。
特にこの部分は自分では磨けないため、気付いた時には 隣の健康な歯が大きく失われている ケースが非常に多いのです。
最悪の場合、隣の歯を抜歯しなければならない状況になることもあります。

親知らず1本の問題が、本来長く使える歯1本の喪失につながる、これが放置による最大のリスクです。

② 深部の歯周病が進行し、顎骨が溶けていくことがある

親知らず周囲の歯周病は、通常の歯と違って 深い位置から進行 しやすい特徴があります。

放置すると

  • 骨が大きく失われる
  • 歯ぐきの炎症が慢性化
  • 嚢胞(のうほう)ができる可能性
  • 顎骨内に炎症が広がる

といった深刻な状態に発展します。

特に嚢胞(袋状の病変)ができると、症状が出る前に顎骨を大きく溶かしてしまい、大掛かりな手術が必要になることもあります。
親知らずの歯周病は、静かに・深く・気づかないうちに進行するサイレント炎症 なのです。

③ 嚢胞(のうほう)や顎骨感染など、口腔外科的疾患のリスク

親知らずの周囲には、嚢胞と呼ばれる袋状の病変が発生することがあります。

嚢胞は放置すると

  • 骨が大きく溶ける
  • 周囲の歯根を圧迫
  • 顔が腫れる
  • 顎骨炎症に進行
  • 感染によって強い痛みが出る

など、日常生活に支障をきたすこともあります。

CT撮影を行わないと発見が難しく、自覚症状が出た時点では広範囲の治療が必要になるケースがあります。
LOTUS DENTAL CLINIC (ロータスデンタルクリニック)東京では、初診時に必ずCT解析を行い、嚢胞の有無・大きさ・周囲組織への影響まで正確に評価します。

④ 頬や歯ぐきに炎症が繰り返し起きる“智歯周囲炎”

親知らずの周りに汚れが溜まり、炎症を起こす状態を智歯周囲炎(ちししゅういえん) といいます。

繰り返しやすい症状として

  • 強い痛み
  • 口が開きにくくなる
  • 嚙むだけで痛い
  • 周囲の歯ぐきが腫れる
  • 膿がでる

悪化すると、顔全体が腫れ、飲み込む動作にも痛みが出る「深部感染」に進行する危険もあります。

智歯周囲炎は、治療すれば一時的に落ち着きますが、親知らずが残っている限り再発し続けます。
根本治療=抜歯が必要な理由のひとつです。

 

⑤ 歯列や噛み合わせに影響して“矯正治療を後戻りさせる”ことも

親知らずが横向きに生えていると、前方の歯列に押し出し力がかかり、歯が前へと動いてしまうことがあります。

その結果

  • 前歯が重なってくる
  • 歯列が乱れやすくなる
  • 矯正治療の後戻りを引き起こす
  • 噛み合わせのバランスが崩れる

というトラブルへ発展します。

特に矯正治療後の患者様は、親知らずを放置すると 治療結果が損なわれる ことがあるため、定期的な経過観察が必須です。

親知らずの放置は、“静かに進むリスク”が蓄積します

親知らずは、痛みがない状態=問題がない ではありません。

むしろ、痛みがない時期こそ最も多くのトラブルが進行するという特徴があります。

 

7.抜歯後の治癒を早める“科学的根拠に基づく術後管理”

親知らずの抜歯は、処置そのものだけでなく「術後管理」が極めて重要です。
術後の過ごし方や適切なケアによって、腫れ・痛み・感染のリスクが大きく変わります。

東京都目黒駅の歯医者・歯科LOTUS DENTAL CLINIC (ロータスデンタルクリニック)東京では、大学病院レベルの外科基準に準じ、治癒スピードを高め、術後合併症を最小限にするための科学的なマネジメント を徹底しています。

① 抜歯後の“炎症コントロール”を正確に行う

抜歯後に起こる炎症は、身体が治癒するための自然な反応でもありますが、過剰な炎症は痛みや腫れを強め、治りを遅くしてしまいます。

LOTUS DENTAL CLINIC (ロータスデンタルクリニック)東京では、抜歯後に適切なタイミングで

  • 鎮痛薬
  • 抗生剤
  • 抗炎症薬

を処方し、炎症が必要以上に進行しないよう管理します。

また、薬の作用や服用タイミングについても、患者様の生活リズムに合わせてパーソナライズした服薬指導 を行います。

適切な薬剤管理は、術後の快適さに直結する非常に大切なポイントです。

② 術後の腫れは“ピークの時期”を理解することがカギ

多くの患者様が不安に感じやすい腫れですが、親知らずの抜歯後は以下のような経過を辿ります。

  • 1〜2日目:腫れが少しずつ出てくる
  • 3日目:腫れのピーク
  • 4〜5日目:腫れが改善し始める
  • 1週間前後:ほとんど落ち着く

LOTUS DENTAL CLINIC (ロータスデンタルクリニック)東京では、この自然な経過を踏まえた上で、さらに腫れを最小限に抑えるための具体的な指導を行います。

  • 当日の患部冷却(アイシング)
  • 血流を増やさない体位保持
  • 激しい運動・長時間の入浴を避ける
  • アルコール摂取を控える
  • 適切な水分と栄養補給

こうした生活指導を徹底することで、治癒のスピードが大きく変わります。

 

③ 食事の工夫で治りを早める|術後の“食べ方”は非常に重要

抜歯後の食事は、患部に刺激を与えないことが重要です。
当院では、傷口を守りながら栄養をしっかり取れるように

  • 柔らかい食事を選ぶ
  • 反対側でゆっくり噛む
  • 熱すぎる・辛すぎる食事を避ける
  • ストローは使用しない(ドライソケット予防)

など、細かいポイントまで丁寧に指導しています。

治癒に栄養は欠かせないため、食事の工夫は術後回復を早める重要なステップです。

④ 術後トラブルを防ぐための“セルフケアの注意点”

術後のセルフケアは、治癒スピードだけでなく、合併症予防にも直結します。

親知らず抜歯後に起こり得る代表的なトラブルは

  • ドライソケット(治癒の遅延)
  • 感染症
  • 過度な出血

これらを防ぐために、次のような指導を行います。

  • 強いうがいは避ける
  • 歯ブラシを患部に当てない
  • 口を開けすぎない
  • 指や舌で傷口を触らない
  • 処方薬を指示通りに服用する

これらはすべて、治癒に必要な血餅(けっぺい)を守るための大切な行動です。

⑤ 治癒を早めるための定期チェックと再診

  • 傷口の治り具合
  • 血餅の状態
  • 食片の詰まりの有無
  • 炎症の進行状況
  • 骨の治癒経過

などをチェックし、必要に応じて洗浄や追加処置を行います。

抜歯後12週間のフォローは、その後の長期的な口腔健康を左右する重要なプロセス です。

術後を丁寧に診ることも、精密治療を掲げるLOTUS DENTAL CLINIC (ロータスデンタルクリニック)東京の大切な使命の一部です。

 

8.他院で断られた“難症例”にも対応できる外科体制があります

親知らずの抜歯は、ケースによって大きく難易度が異なります。
一般歯科での抜歯が難しいと判断された場合でも、東京都目黒駅の歯医者・歯科LOTUS DENTAL CLINIC (ロータスデンタルクリニック)東京では 大学病院レベルの外科技術と精密診断による対応が可能 です。

他院で「抜けないと言われた」「大きな病院を紹介された」
という方が多く来院されるのは、複雑な親知らずの抜歯にも対応できる専門体制 を整えているからです。

① 下歯槽神経に近い“高度リスク症例”にも慎重かつ的確に対応

下顎の親知らずは、重要な神経(下歯槽神経)や血管に接していることがあり、これらに近いほど抜歯が難しくなります。

一般歯科では危険性が高く対応が難しいケースでも、

  • 歯科用CTによる三次元解析
  • 神経との距離・角度・歯根の湾曲方向を精密に計測
  • 術式の選択(分割抜歯・骨削除の最小化)
  • 低侵襲な外科操作

を駆使し、安全に配慮しながら抜歯を行います。

神経損傷リスクを最小限に抑えるための専門技術と判断力が必要とされる分野です。

② 骨に深く埋まった“完全埋伏智歯”にも対応します

完全埋伏は、親知らずが骨の中に完全に埋まっている状態です。
骨削除や複雑な分割操作が必要となるため、患者様が抱える不安も大きくなります。

LOTUS DENTAL CLINIC (ロータスデンタルクリニック)東京では

  • 外科経験豊富な歯科医師による術式決定
  • CTでの正確な術前シミュレーション
  • 骨の厚み・形態を踏まえた低侵襲なアプローチ
  • 術後の炎症を最小限に抑える丁寧な操作

を行い、安全で精度の高い抜歯を実現します。

難症例の抜歯こそ、外科技術の差が顕著に現れる領域です。

③ 歯根が湾曲・分岐した“複雑歯根形態”にも適切に対応

親知らずの歯根は、

  • 根が曲がっている
  • 複数に分かれている
  • フックのように引っかかっている

など、個人差が大きい歯です。

こうした複雑歯根は、歯根を折らずに安全に取り出すための術式選択が非常に重要になります。

東京都目黒駅で親知らずの抜歯(口腔外科)を行う歯医者・歯科のLOTUS DENTAL CLINIC (ロータスデンタルクリニック)東京では、CT画像をもとに歯根の正確な形を立体的に把握し、最も侵襲の少ない抜歯手順を設計します。

事前診断から術中操作まで、ひとつ一つの工程を丁寧に行い、歯根破折・合併症のリスクを極限まで抑えます。

④ 強く閉じる癖がある・口が開きにくい患者様にも対応

親知らず抜歯では、口を長時間開けておく必要があります。
しかし、以下のような患者様では抜歯が難しくなります。

  • 口が開きにくい(開口障害)
  • 顎関節症
  • 噛みしめる癖が強い
  • 筋緊張が強い

こうした場合でも、LOTUS DENTAL CLINIC (ロータスデンタルクリニック)東京ならではの対応が可能です。

  • 静脈内鎮静法で緊張を緩和
  • 顎関節の可動域を考慮した術式
  • 不必要な負担を避ける体位・器具選び

外科処置中の身体・筋肉への負担軽減にも細かく配慮し、快適かつ安全に抜歯を進めます。

⑤ 嚢胞や炎症を伴う“合併症ケース”にも対応可能

親知らずの周囲にできる嚢胞(のうほう)や、炎症が強い状態での抜歯は、一般歯科では対応が難しく大きな病院を紹介されがちです。

当院では、

  • 嚢胞の摘出
  • 感染部位の徹底除去
  • 必要な骨整形
  • 術後の炎症コントロール

などを含めた外科併用処置にも対応できる体制を整えています。

複雑なケースも「総合的に診て最適な治療を行う」ことが可能です。

 

難症例の親知らずでも、安心してお任せください

親知らずの抜歯は、歯科医師の経験・外科技術・診断精度・設備レベル によって安全性と結果が大きく変わる処置です。

LOTUS DENTAL CLINIC (ロータスデンタルクリニック)東京では、

  • 大学病院レベルのCT診断
  • 難症例の経験豊富な歯科医師
  • 低侵襲な外科技術
  • 静脈内鎮静法による快適な治療
  • 高度な滅菌・外科環境

を備え、他院で断られた複雑な親知らずにも対応可能です。

安心して治療を受けていただけるよう、ひとつひとつ丁寧に、確実に。
患者様の不安に寄り添いながら、安全な抜歯を提供します。

9.将来の健康を守るために──“親知らずとの正しい向き合い方”

親知らずは、抜歯したら終わりという単純な話ではありません。
また、症状がなければ安心というわけでもありません。

親知らずは 将来の歯並び・噛み合わせ・歯周病・隣在歯の寿命 にまで影響を与える可能性があるため、長期的な視点で管理していくことが非常に重要です。

東京都目黒駅の歯医者・歯科LOTUS DENTAL CLINIC (ロータスデンタルクリニック)東京では、患者様の10年後・20年後の健康を見据え、親知らずを「治療すべきタイミング」と「経過観察すべきタイミング」に分類し、最も健康を守れる選択をご提案しています。

以下では、親知らずと上手に付き合うための考え方を解説します。

① 親知らずは“早期発見・早期判断”が未来を守る鍵

親知らずの厄介な点は、症状がないうちにトラブルが進む ということです。

そのため、痛み・腫れがない段階から

  • 歯科用CTで位置や角度を把握
  • 歯根の形と骨の厚みを評価
  • 神経・血管との距離を確認
  • 隣の歯への影響を予測する

といった「早期精密診断」が欠かせません。

症状の有無ではなく、将来のリスクの大きさ こそが、抜歯判断の基準になります。

② 生涯の噛み合わせを守るための“親知らずの管理”

親知らずは、歯並びや噛み合わせに予期せぬ影響を与えることがあります。

  • 歯列の乱れ
  • 前歯の重なり
  • 噛み合わせのズレ
  • 顎関節への負担

特に、矯正治療を受けた方は後戻りの原因にもなりやすいため、親知らずの管理は非常に重要です。
LOTUS DENTAL CLINIC (ロータスデンタルクリニック)東京では、噛み合わせ・歯列・顔貌のバランスまで踏まえ、親知らずの状態を総合的に判断します。

今は抜かなくてよい場合でも、将来の噛み合わせを守るために定期的なチェックは必須 です。

③ 痛みが出る前の予防抜歯は“最も安全で負担が少ない選択”

親知らずは、炎症を起こしてから抜歯すると

  • 痛みが強い
  • 腫れが大きい
  • 麻酔が効きにくい
  • 治癒に時間がかかる
  • 感染リスクが高くなる

といったデメリットがあります。

そのため、炎症が起きる前の予防抜歯が最も安全で負担が少ないというのが口腔外科のセオリーです。
特に10代後半~20代前半は、骨が柔らかく治癒も早い、まさに抜歯の適齢期です。

LOTUS DENTAL CLINIC (ロータスデンタルクリニック)東京では、患者様の生活状況・年齢・骨の状態を踏まえ、ベストなタイミングでの予防抜歯をご提案しています。

④ 「抜かない選択」をする場合も、計画的フォローが必要です

親知らずを必ず抜くわけではありません。
位置がよく、噛み合わせに参加している場合は「残す選択」も有効です。

ただし、この場合でも

  • 半年〜1年ごとのレントゲンチェック
  • 歯ぐきの炎症の確認
  • 隣在歯虫歯の予防
  • 嚢胞形成の有無
  • 歯列への圧迫チェック

など 定期的な管理が不可欠 です。

抜かないではなく、抜かずに管理するという積極的な選択 だとLOTUS DENTAL CLINIC (ロータスデンタルクリニック)東京は考えています。

⑤ セカンドオピニオンにも対応しています

「この親知らず、抜いたほうがいいの?」
「大きな病院を紹介されたけど不安」
「難しいと言われた」

そんな時は、いつでもご相談ください。

当院では、

  • CTによる再評価
  • リスク説明
  • 術式の提案
  • 必要かどうかの判断材料の提供

を行い、患者様が納得して選択できるよう全力でサポートします。

 

親知らずは“ただの奥歯”ではありません。未来の健康を左右する重要な存在です。

親知らずの治療・管理は、ご自身の「未来の口腔健康」に直結します。

LOTUS DENTAL CLINIC (ロータスデンタルクリニック)東京では、

  • 早期診断

 

  • 精密解析
  • 低侵襲な抜歯
  • 静脈内鎮静法による快適な治療
  • 術後の手厚いフォロー
  • 長期的な予防視点の管理

これらを組み合わせ、患者様が将来も安心して食事を楽しめる口腔環境を守ります。

 

10.FAQ|親知らずの抜歯(口腔外科)

11.よくある質問(Q&A)
  • Q

    親知らずは必ず抜いたほうが良いのですか?

    A

    すべての親知らずが抜歯すべきというわけではありません。
    しかし、横向き・斜め・半分埋まった状態の親知らずはトラブルを起こしやすく、放置しておくと隣の歯を虫歯・歯周病にしたり、嚢胞(骨内病変)をつくる可能性があります。
    当院ではCTを使用した精密診断により、抜歯の必要性・タイミングを科学的根拠に基づいて判断します。

  • Q

    他院で「抜歯が難しい」と言われました。対応できますか?

    A

    はい、可能です。
    当院は大学病院レベルの外科体制を整えており、
    ・神経に近い位置
    ・骨の深部に埋伏
    ・歯根が大きく湾曲
    ・嚢胞を伴うケース
    など、高度な技術を要する難症例にも対応しています。
    セカンドオピニオンのご相談も歓迎しています。

  • Q

     抜歯は痛いですか?

    A

    抜歯中の痛みは局所麻酔によりほぼ感じません。
    さらに不安が強い方・嘔吐反射がある方・長時間の治療が苦手な方には、
    静脈内鎮静法(リラックス麻酔)を併用可能です。
    眠っているような状態で治療を受けるため、痛み・恐怖心・緊張が大幅に軽減されます。

  • Q

    抜歯後の腫れや痛みはどのくらい続きますか?

    A

    通常、腫れのピークは23日目で、1週間程度で落ち着くことが多いです。
    痛みに関しては鎮痛薬を処方しますのでご安心ください。
    腫れ・出血・感染を抑えるため、術前術後の指導を丁寧に行っています。

  • Q

     親知らずを抜くと小顔になりますか?

    A

    一般的に、親知らずの抜歯が直接的に小顔効果をもたらす医学的根拠はありません。
    ただし、親知らずによる慢性的な炎症や筋緊張が改善し、フェイスラインがすっきり見えるケースはあります。

  • Q

    抜歯後、どれくらいで通常の生活に戻れますか?

    A

    ほとんどの方が翌日から日常生活に戻れます。
    ただし、激しい運動・長時間の入浴・飲酒は腫れや出血を悪化させるため、抜歯後4872時間は控えていただきます。

  • Q

    親知らずが原因で頭痛や肩こりが起こることはありますか?

    A

    親知らずによる咬合干渉(噛み合わせの乱れ)や慢性炎症が筋緊張を引き起こすことで、頭痛・肩こり・顎関節症状に繋がることがあります。
    精密診査により原因を特定し、抜歯を含めた改善アプローチをご提案します。

  • Q

    静脈内鎮静法は安全ですか?

    A

    事前の問診・既往歴チェック・血圧心拍などの全身管理を徹底し、安全性を最優先に配慮して行います。
    血管確保を行い、治療中は生体モニターで管理。
    持病のある方も医科連携のもと慎重に判断します。

  • Q

    親知らずを放置すると必ず悪くなりますか?

    A

    必ずではありませんが、問題が起きるリスクは非常に高い歯です。
    特に生え方が悪い親知らずでは、
    ・強い痛み
    ・腫れ
    ・歯ぐきの炎症(智歯周囲炎)
    ・隣の歯の虫歯・歯周病
    ・嚢胞形成
    などが高確率で発生します。
    定期検査や早期抜歯の検討が推奨されます。

  • Q

    抜歯後の穴はどうやって治るのですか?

    A

    抜歯後の骨の欠損部は、約数ヶ月かけて徐々に骨で満たされます。
    完全に治癒するまでの期間は個人差がありますが、通常36ヶ月程度です。
    感染を防ぎ、治癒を早めるために術後のケアと定期チェックが重要です。

CONTACT お問い合わせ
CONTACT

お問い合わせ

東京都目黒駅の歯医者・歯科 LOTUS DENTAL CLINIC東京
各種お問い合わせは下記よりお願いいたします。

ホームページ運営について

LOTUS DENTAL CLINIC東京の公式サイトは、患者さまに正確で信頼性の高い医療情報をお届けすることを目的として運営されています。
当院には、インプラント治療・歯周再生療法・全顎治療・審美歯科など、それぞれの分野で高度な専門知識と臨床経験を持つ歯科医師が在籍しており、すべての情報は歯科医師の監修のもとで作成・公開されています。
医療に関する情報は、正確性と倫理性が求められるものです。
そのため当院では、医療法および厚生労働省が定める「医療広告ガイドライン」を厳格に遵守し、科学的根拠に基づいた情報提供を徹底しています。

ページのトップへ戻る