ファーストビュー
implant

インプラント治療

精密インプラント治療|LOTUS DENTAL CLINIC東京

 

インプラント 症例1

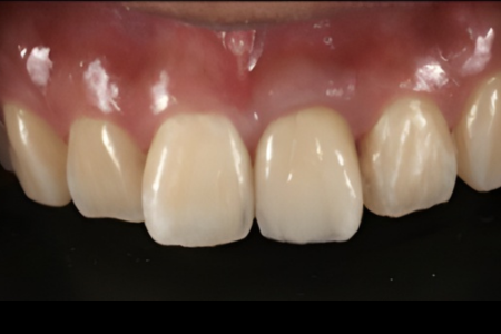
症例画像 症例画像
治療名
全顎治療(咬合治療、審美治療)
フルインプラント治療
患者様
40代 男性
執刀医
Dr.矢野
治療期間
12ヶ月
治療費
¥8,140,000
リスク
外科治療に伴う術後疼痛、合併症のリスク

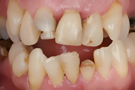
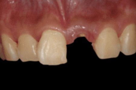
インプラント 症例2

症例画像 症例画像
治療名
インプラント治療
患者様
20代 女性
執刀医
Dr.矢野
治療内容
右上1の深部カリエス歯を抜歯し、インプラント治療を行った。
治療期間
5回
治療費
¥517,000
リスク
審美的再現の難しさ、外科治療に伴う術後疼痛と合併症のリスク

1.インプラント治療で“失った歯の未来”は取り戻せる

1.インプラント治療で“失った歯の未来”は取り戻せる 1.インプラント治療で“失った歯の未来”は取り戻せる

歯を失った瞬間、多くの方が「もう元通りにはならないのでは」「噛めなくなるのでは」と不安を抱えます。しかし現代歯科医療におけるインプラント治療は、その不安を大きく上回る治療成果を持ち、失った歯の“機能・健康・美しさ”を再構築できる確立された治療法へと発展しています。
私たちが大切にしているのは、失った歯を単に補うのではなく、口腔全体が本来持つバランス・噛む力・美しさを包括的に回復することです。
インプラント治療とは、単なる人工歯根の置き換えではなく、「未来の口腔環境をつくり直す治療」だと考えています。

歯を失ったまま放置するリスク

— “そのままでも困っていない”は大きな誤解です
歯を1本失うと、見た目だけでなく機能にも大きな変化が起こります。
放置することで以下のような影響が確実に進行します。

  • 噛む力の低下
  • 隣の歯が傾く・伸びるなどの歯列変化
  • 顎の骨が痩せてしまう(インプラントが難しくなる原因に)
  • 噛み合わせの乱れによる頭痛・肩こり・全身の姿勢バランスの崩れ
  • 反対側の歯に過剰な負担 → 将来的な破折の危険性

つまり、「1本くらい…」と軽く考えることが、
長期的には他の歯の寿命まで縮めるリスクにつながります。
だからこそ、適切な治療選択は早いほど良い結果に結びつきます。

“機能・健康・美しさ”を再構築する治療哲学

インプラント治療の目的は、人工歯を埋め込むことそのものではありません。
本来、人が快適に生活するために必要な以下3つを取り戻すことです。

機能

しっかり噛めることは、食事の満足度だけでなく、全身の健康維持に直結します。
骨の状態、筋肉の働き、噛み合わせを立体的に分析した上で、
「どの位置が最も正しいのか」を精密に設計します。

健康

インプラントが長持ちするかどうかは、周囲の歯周組織や噛み合わせの状態に左右されます。
CT・マイクロスコープ・口腔内スキャナーなどを駆使し、
治療前に起こり得るリスクを見極めたうえで治療を組み立てます。

美しさ

口元は顔全体の印象を左右します。
セラミックの透明感、歯ぐきとの調和、口元とのバランスを丁寧に整え、自然な美しさを追求します。
これらを総合的に考慮することで、単に噛めるだけではなく、“長期的に健全で、美しく機能する口腔環境”をつくることを目指しています。

入れ歯・ブリッジとの比較

— インプラントが“未来への投資”といわれる理由
歯を失った際、選択肢は主に以下の3つです。

治療法
インプラント
インプラント インプラント

あごの骨に人工の歯根を固定し、その上に人工歯を取り付けて歯を補う方法。

入れ歯(保険適用の場合)
入れ歯(保険適用の場合) 入れ歯(保険適用の場合)

バネや吸着力を利用して、歯ぐきの上に人工の歯をのせる補綴方法。

ブリッジ治療
ブリッジ治療 ブリッジ治療

欠損した歯の両隣の歯を削り、その上に連結した人工歯を装着する方法。

メリット
  • 自然な見た目に近く、周囲の歯と調和しやすい
  • しっかり噛みやすく、硬い食べ物にも対応しやすい
  • 両隣の歯を削る必要がなく、他の歯への負担が少ない
  • 金属アレルギーへの配慮が可能な素材も選択できる
  • 保険診療が使えるため費用を抑えられる
  • 多くの歯を失ったケースにも対応しやすい
  • 比較的短期間で装着できる場合が多い
  • 見た目が比較的自然で、違和感が少ない
  • 一部の素材では保険適用できる場合がある
  • 数本の欠損であれば対応しやすい
デメリット
  • 外科的処置が必要となる
  • 費用が比較的高額になりやすい
  • 骨の状態や全身疾患によっては適応できない場合がある
  • 見た目や噛む力が天然歯に比べて劣ることがある
  • 使用時に違和感が出ることがあり、長時間の使用が負担になることも
  • バネがかかる歯に負担がかかり、状態によっては健康な歯の寿命に影響する可能性がある
  • 両隣の健康な歯を削る必要がある
  • 支えとなる歯への負荷が増え、将来的に歯を失うリスクにつながることがある
  • 清掃が難しい構造になる場合があり、口腔衛生管理に注意が必要
入れ歯(義歯)
  • 咀嚼力は天然歯の約30~40%
  • 外れやすい・違和感が出やすい
  • 発音に影響
  • 発音に影響
  • 顎骨がさらに痩せやすくなる
ブリッジ
  • 健康な歯を大きく削る必要がある
  • 支えの歯に負担 → 将来的な破折の原因に
  • 清掃が難しく、虫歯・歯周病の再発リスクが高い
インプラント(理想的な選択肢)
  • 噛む力は天然歯に限りなく近い
  • 健康な歯を削らない
  • 顎骨が維持され、顔貌の変化も抑えられる
  • 見た目が自然
  • 適切にケアすれば長期安定が期待できる

インプラントは、「周囲の歯を守りながら、機能と見た目を同時に取り戻すことができる治療」であり、これが“未来への投資”といわれる最大の理由です。

失った歯から“人生の質”を取り戻すために

歯を失うことは、日常生活に大きな影響を与えますが、正しい治療を選択すれば、機能も美しさも取り戻すことができます。
インプラント治療は、噛める喜び、見た目の自信、健康寿命の延伸これらすべてに繋がる治療です。

2.なぜ今、インプラント治療が選ばれているのか

2.なぜ今、インプラント治療が選ばれているのか 2.なぜ今、インプラント治療が選ばれているのか

近年、歯を失った際の治療選択肢としてインプラント治療を希望される方が確実に増えています。その理由は単に“噛めるようになる”ためではありません。
インプラントは、機能性・耐久性・審美性・健康維持のすべてを満たし、かつ長期的なメリットが他の治療と比較して圧倒的に大きい治療だからです。
ここでは、多くの方がインプラントを選択する理由を「医学的根拠」「生活上のメリット」という2つの観点からわかりやすくご紹介します。

① 入れ歯・ブリッジを超える「噛む力と安定性」

歯を失った際に一般的な治療法である入れ歯は、素材や構造の問題から天然歯と同等の噛む力を得ることは難しく、食事の際にずれたり、硬いものが噛めない・味を感じにくいなど多くのストレスが生じます。
ブリッジも見た目は自然ですが、両隣の健康な歯を削らなければならないという大きなデメリットがあります。
一方インプラントは、

  • 顎骨に人工歯根が結合するため
  • 天然歯に近い力で噛むことができ
  • 食事の満足度が格段に高くなる

というメリットがあり、生活の質(QOL)を大きく向上する治療法として評価されています。

② 健康な歯を守る“唯一の選択肢”

インプラントが他の治療法と最も異なるのは、周囲の健康な歯を一切犠牲にしない点です。
ブリッジは支台となる歯を大きく削る必要があり、入れ歯は隣の歯に金具で負担をかけるため、将来的にその歯の寿命を縮める可能性があります。
インプラント治療は、「失った歯1本だけを治す」というシンプルかつ合理的な方法であり、結果として他の歯の寿命を延ばす効果があります。

③ 顎の骨が痩せるのを防ぎ、老け顔の予防にもつながる

歯を失うと、噛む刺激が骨に伝わらなくなり、顎の骨は急速に吸収されていきます。
これにより、

  • 顔の輪郭が変わる
  • 口元がしぼむ
  • 老けた印象に見える

などの影響が出やすくなります。

インプラントは人工歯根が骨と結合するため、噛む刺激が伝わり、骨が維持されることで顔貌の変化を抑えられるというメリットがあります。
長期的な美しさを保つうえでも非常に価値の高い治療です。

④ 発音・会話・笑顔など“日常のストレス”が大きく改善

入れ歯の場合、

  • 話すとカタつく
  • 外れる不安
  • 金具が見えてしまう
  • 食事の時に痛みが出る

といった悩みを抱える方が少なくありません。

インプラントは固定式であるため、発音が安定し、自然に話せるようになり、笑顔にも自信が持てます。
患者様からは
「入れ歯の頃のストレスがなくなった」
「人前で安心して笑えるようになった」
という声が多く寄せられます。

⑤ メンテナンス次第で長期安定が期待できる

インプラント治療は“入れたら終わり”の治療ではありませんが、
適切なメンテナンスを行うことで、長期にわたり機能させることが可能です。
世界的な臨床データからも、10年以上の良好な経過が得られている症例が多数報告されています。

⑥ 「自由診療」である理由が患者様のメリットになる

自由診療だからこそ、

  • 先進設備(CT、マイクロスコープ、iTero)
  • 高品質な材料
  • 治療に十分な時間
  • 個別カスタムの治療計画

を制限なく使用できます。

最適な治療方法を、保険制度の制約ではなく、患者様に本当に必要かどうかで判断できることが最大の価値です。

“噛む、話す、笑う、食べる”という当たり前を取り戻す治療

インプラント治療は、ただ歯を補うだけの治療ではありません。
生活の質を高め、健康を守り、人生の豊かさを取り戻す治療です。
もしも今、

  • 食事が楽しめない
  • 見た目が気になる
  • 入れ歯にストレスを感じている
  • 他院で「インプラントは難しい」と言われた

そのような場合でも、一度ご相談ください。
正確な診断と科学的根拠に基づく治療で、未来は大きく変わります。

3.当院のインププラント治療が選ばれる理由

3.当院のインププラント治療が選ばれる理由 3.当院のインププラント治療が選ばれる理由

インプラント治療は、歯科医療の中でも高度な技術と精密な診断力が求められる分野です。
だからこそ、どこで治療を受けるかによって“治療の質”や“長期的な予後”が大きく変わります。
精密インプラント治療を行う歯医者・歯科のLOTUS DENTAL CLINIC 東京(ロータスデンタルクリニック東京)には、専門性と精密医療体制が整っており、患者様から選ばれ続ける理由が明確に存在します。
以下では、その根拠となる特徴を丁寧に解説します。

① 大学病院レベルの精密診断が治療成功率を高める

インプラント治療の成否は「診断力」で決まります。
LOTUS DENTAL CLINIC 東京(ロータスデンタルクリニック東京)では、治療前に以下の精密検査を行い、顎骨の厚み・形態・神経の走行・噛み合わせのズレなどを多角的に解析します。

  • 歯科用CT
  • 口腔内スキャナー(iTero)
  • マイクロスコープ診査
  • 咬合・筋機能検査
  • 歯周組織検査

これらの精密データをもとに、治療後10年・20年先を見据えた設計を行うため、一過性の治療ではなく“長期に安定するインプラント”が可能となります。

② 骨の少ない難症例にも対応できる技術力

過去に「骨が薄いからインプラントはできない」と言われた方でも、LOTUS DENTAL CLINIC 東京(ロータスデンタルクリニック東京)では治療が可能なケースがあります。
理由は、以下の高度な技術に対応できるからです。

  • GBR(骨再生)
  • サイナスリフト
  • ソケットリフト
  • 自家骨移植
  • 即時埋入(抜歯と同時のインプラント)
  • フルマウス(全顎)インプラント治療

骨の状態に合わせて最適な方法を選択するため、難症例にも対応できる体制が整っています。
「他院で断られた」という方が多く来院されるのは、この専門性が理由です。

③ 確実性を高める“デジタル × マイクロスコープ”の治療体制

東京都目黒駅で精密インプラント治療を行う歯医者・歯科のLOTUS DENTAL CLINIC 東京(ロータスデンタルクリニック東京)のインプラント治療は、アナログによる“感覚的な治療”ではなく、最新機器による“科学的な治療”です。

◎ CT × スキャン × 3Dシミュレーション

どの角度に、どの深さで、どの位置にインプラントを入れるべきかを
コンピュータ上で事前に最適化します。

◎ マイクロスコープによる精密オペ

視野を大幅に拡大し、肉眼では見えない細部まで確認しながら手術を行います。
これにより、

  • 手術の正確性
  • 治療の安全性
  • 術後の経過
  • 審美的な仕上がり

すべての質が向上します。

④ 審美性まで追求する“歯ぐきと調和した口元設計”

インプラント治療で難しいのは「見た目の自然さ」です。
人工歯はただ白ければ良いわけではなく、

  • 歯ぐきのライン
  • 隣の歯との調和
  • 唇とのバランス
  • 光の透過と表面の質感

これらを細かく計算しなければ、“インプラント特有の違和感”がどうしても残ってしまいます。
東京都目黒駅で精密インプラント治療を行う歯医者・歯科のLOTUS DENTAL CLINIC 東京(ロータスデンタルクリニック東京)では、専門の技工士と密に連携し、形態・色・質感まで徹底的に作り込みます。
審美領域の症例経験が豊富だからこそできるアプローチです。

⑤ 術後の“長期安定”を支えるメンテナンス体制

インプラントは入れて終わりではありません。
術後の管理が、寿命に大きく影響します。
LOTUS DENTAL CLINIC 東京(ロータスデンタルクリニック東京)では、

  • 専門知識を持つ歯科衛生士による定期検査
  • 咬合調整
  • 歯周環境のチェック
  • 噛む力の変化のモニタリング

を行い、インプラント周囲炎を未然に防ぐ体制を整えています。

長期的に機能させるための“予防中心のメンテナンス”を重要視しています。

⑥ 全室個室・完全予約制による安全で静かなオペ環境

精密な外科処置であるインプラント治療では、環境もクオリティに直結します。

精密インプラント治療を行う歯医者・歯科のLOTUS DENTAL CLINIC 東京(ロータスデンタルクリニック東京)は、全室個室・完全予約制のため、外部の音・人の出入り・周囲の雑音が少なく、集中した状態で安全に手術を行うことができます。
また、滅菌体制・感染対策も国際基準を採用しており、安心して治療を受けていただける環境を整えています。

“安心して任せられる理由”がすべて揃ったインプラント治療を

インプラント治療は、歯を補うだけの治療ではなく、噛む力・健康・見た目・生活の質まで変える治療です。
どこで治療を受けるかが未来を左右します。
精密な診断、豊富な治療経験、先進設備、そして長期管理までを一体化した体制があるからこそ、多くの患者様がLOTUS DENTAL CLINIC 東京(ロータスデンタルクリニック東京)を選ばれています。

4.インプラント治療のメリット・デメリット

4.インプラント治療のメリット・デメリット 4.インプラント治療のメリット・デメリット

インプラント治療は、多くの利点がある一方で、外科処置を伴う治療であるため、正確に理解したうえで選択することが大切です。
ここでは、治療の「良い点」と「気をつけるべき点」を中立的に整理し、患者様が納得して治療を選択できるようわかりやすくご説明します。

【メリット】

① 天然歯に近い噛む力を取り戻せる

インプラントは顎の骨と結合するため、ほぼ天然歯と同等の噛む力が得られます。
入れ歯のようにガタつくこともなく、硬いものもしっかり噛むことができ、食事の満足度が大きく改善します。
「以前と同じように食事が楽しめるようになった」という声が多いのは、この機能性の高さが理由です。

② 健康な歯を削らずに治療できる

ブリッジは隣の健康な歯を削る必要がありますが、インプラントは失った歯のみを治療対象とします。
そのため、周囲の歯に余計な負担をかけず、「残っている歯の寿命を伸ばす」という大きなメリットがあります。

③ 見た目が自然で、口元の美しさを損なわない

セラミックの被せ物は天然歯に近い透明感があり、金具も使用しないため、口を開けても治療痕が目立ちません。
さらにインプラントは骨が維持されやすく、口元が痩せるのを防ぐ効果も期待できます。
これは、長期的な顔貌の変化(老け顔)を抑える点でも大きな利点です。

④ 顎の骨が痩せるのを防ぎ、若々しい口元を保ちやすい

歯を失うと噛む刺激が骨に伝わらなくなり、顎の骨は徐々に痩せていきます。
インプラントは骨に直接固定されるため、噛む力の刺激が骨に伝わり、骨吸収を抑制することができます。
これは、入れ歯では得られない大きなメリットです。

⑤ メンテナンスにより長期安定が期待できる

世界的な臨床統計では、適切にメンテナンスを行ったインプラントは
10年以上の安定した維持が可能とされています。
定期検診・歯周管理を継続することで、長期間にわたって快適に使い続けられる治療です。

【デメリット】

① 外科的処置が必要になる

インプラント治療は外科手術を伴うため、治療前には血圧・既往歴・服薬状況の把握などの精密診査が欠かせません。
また、術後に軽度の腫れや痛みが出ることがありますが、多くの場合は数日~1週間ほどで落ち着きます。

② 治療期間が比較的長い

顎骨とインプラントが結合するまでに時間が必要なため、一般的には数ヶ月の治療期間を要します。
ただし、骨の状態が良好な場合は、即時埋入や短縮治療が可能なケースもあります。

③ 保険適用外のため費用負担がある

インプラント治療は自由診療となり、使用する材料・治療の難易度・本数によって費用が変動します。
しかし、健康な歯を守れることや、長期的な安定性を考えると、将来の治療費を減らす選択肢になり得ます。

④ メンテナンスを怠るとトラブルが起こる可能性

インプラント周囲炎(インプラントの歯周病)を予防するためには、定期的なプロケアと毎日のセルフケアが欠かせません。
適切に管理すれば長期的に安定しますが、メンテナンスを怠るとトラブルが発生する可能性があります。

⑤ 骨量や健康状態により追加処置が必要なことも

骨が少ない場合は骨造成(GBR)やサイナスリフトなどの追加治療が必要となります。
また、糖尿病・喫煙などは治療の成否に影響するため、事前の精密検査と適切な計画が必須です。

治療の価値を正しく理解し、未来に向けた最適な選択を

インプラント治療には多くのメリットがありますが、
“誰にでも同じ治療を行う”というものではありません。
大切なのは、

  • 精密な診査診断
  • 適切な治療計画
  • 術後の継続したメンテナンス

この3つが揃うことで、長期にわたる安定性と満足度の高い結果が得られます。

5.インプラント治療の流れ(初診~メンテナンスまで)

5.インプラント治療の流れ(初診~メンテナンスまで) 5.インプラント治療の流れ(初診~メンテナンスまで)

インプラント治療は、「人工歯を埋める」だけの単純な処置ではありません。
精密な診査・正確な外科手術・治療後の維持管理という複数のステップを丁寧に積み重ねることで、初めて長期的に安定した結果が得られます。
ここでは、初診からメンテナンスまでの流れをわかりやすく紹介します。

  • STEP01

    初診カウンセリング

    — 現在のお悩み・ご希望を丁寧にお伺いします

    まずは、歯を失った経緯や現在困っていること、治療に対する不安、どのような生活を望むかなどを詳しく伺い、患者様のライフスタイルや価値観を共有します。
    インプラントは治療選択肢の一つであり、「どの治療が最適か」を一緒に考えることが最初のステップです。

  • STEP02

    精密検査(CT・スキャン・歯周検査など)

    — 安全な治療のために欠かせないプロセス

    安全かつ長期的に安定するインプラント治療を行うために、以下のような精密検査を行います。

    • 歯科用CT(骨の厚み・形態・神経や血管の位置を確認)
    • 口腔内スキャナー(噛み合わせ・歯列の立体データ)
    • 歯周組織検査(歯ぐきや歯周病の状態)
    • マイクロスコープ診査(肉眼で見えない細部の確認)
    • 必要に応じた 顎関節・筋機能の評価

    インプラント治療の成功率は精密検査の質に左右されるため、このステップが最も重要であるといっても過言ではありません。

  • STEP03

    診断と治療計画の立案

    — 10年後・20年後を見据えた設計

    検査データをもとに、骨の状態、噛み合わせ、周囲の歯の健康状態を総合的に分析し、以下の内容を踏まえた治療計画を作成します。

    • インプラントを埋入する位置
    • 本数と埋入角度
    • 骨造成の必要性
    • 術式(通常埋入・即時埋入・2回法など)
    • 他歯の治療の必要性
    • 想定されるリスク
    • 費用と期間

    この段階では複数の治療プランを提示し、メリット・デメリットを丁寧に説明したうえで、患者様と一緒に最も適切な治療法を選択します。

  • STEP04

    インプラント手術

    — 精密な外科処置を安全な環境で

    手術は、清潔な完全個室で行い、安全性を最大限確保した環境を整えます。
    麻酔を使用するため、手術中に痛みを感じることはほとんどありません。
    手術のポイントは以下の通りです。

    • CTとスキャンデータを用いた3Dシミュレーション
    • 必要に応じたガイド手術
    • マイクロスコープでの精密視野下オペ
    • 骨が不足している場合の骨造成(GBR・サイナスリフト)

    治療後は腫れや痛みが出ることがありますが、多くの場合数日~1週間程度で落ち着きます。

  • STEP05

    仮歯の装着(必要に応じて)

    — 見た目と機能を保ちつつ治癒期間を過ごす

    前歯など審美性が重要な部位では、治療中でも自然な見た目を維持できるよう、仮歯を装着します。
    また、噛む力のバランスを整えることで、治療中の負担を最小限にします。

  • STEP06

    治癒期間(インプラントと骨の結合)

    — 最も重要な“土台づくり”の時間

    インプラントが骨としっかり結合するために、数ヶ月(一般的に3~6ヶ月)の治癒期間が必要です。
    この期間に、

    • 骨がどの程度成長しているか
    • 歯ぐきの状態
    • 噛み合わせの変化
    • 口腔内清掃状況

    などを継続的にチェックし、トラブルを未然に防ぎます。

  • STEP07

    仮歯の装着(必要に応じて)

    — 噛み合わせ・見た目・耐久性を精密に再現

    治癒期間を経て、インプラントが安定したら、いよいよ最終的な人工歯を製作します。

    • 3Dスキャンによる精密な噛み合わせ解析
    • 周囲の歯との色・形の調和
    • 審美性・耐久性に優れたセラミックを使用
    • 技工士との連携による細部の仕上げ

    ただ“噛める歯”ではなく、機能と美しさを兼ね備えた歯を目指します。

  • STEP08

    メンテナンス

    — インプラントを長く使い続けるための必須ステップ

    インプラント治療は、術後のケアで寿命が大きく変わります。
    LOTUS DENTAL CLINIC 東京(ロータスデンタルクリニック東京)では、

    • 専門衛生士によるクリーニング
    • 噛み合わせの微調整
    • インプラント周囲炎のチェック
    • 歯周病・虫歯の管理
    • 生活習慣のアドバイス

    など、患者様ごとのオーダーメイドの予防プログラムを提供します。
    定期的にメンテナンスを行うことで、治療結果を長期にわたり安定させることが可能です。

6.インプラント治療が適している方・注意が必要な方

6.インプラント治療が適している方・注意が必要な方 6.インプラント治療が適している方・注意が必要な方

インプラント治療は、歯を失った際の選択肢として非常に優れた結果が期待できる治療法ですが、すべての方に同じ方法が適しているわけではありません。
骨の状態や全身の健康状態、生活習慣などにより、治療の適応は大きく異なります。
ここでは、「適している方」「注意が必要な方」の特徴を、わかりやすく整理してご説明します。

【インプラント治療が適している方】

① 歯を失った部分をしっかり噛める状態に戻したい方

インプラントは天然歯に近い噛む力を取り戻せます。
「硬いものが噛めない」「食事が楽しめない」という悩みを解消したい方に向いています。

② 入れ歯の不安定さ・違和感に悩んでいる方

入れ歯が

  • 外れやすい
  • 痛い
  • 食べ物が挟まる
  • 見た目が気になる

など、快適に使えない方にはインプラントが大きなメリットになります。
固定式でガタつかず、違和感がほとんどないため、「自分の歯のように噛める」状態を求める方に適しています。

③ 健康な歯を削りたくない方

ブリッジ治療は健康な歯を削る必要があるため、「できる限り自分の歯を残したい」と考える方にはインプラントが最適です。
隣の歯の寿命を守るという観点でも有効です。

④ 見た目の自然さを重視する方

インプラントは歯ぐきとの調和、色合いの再現性に優れており、「治療したと気づかれない自然な仕上がり」を求める方に向いています。
特に前歯の治療で高い評価を得ています。

⑤ 顎の骨を維持したい方

インプラントは噛む刺激が骨に伝わるため、顎の骨が痩せるのを防ぎ、顔貌の変化(老けた印象)を抑えることにもつながります。
長期的に若々しい口元を保ちたい方には大きな利点があります。

【インプラント治療に注意が必要な方】

インプラント治療は安全性の高い治療ですが、以下に該当する方の場合、追加の検査や慎重な判断が必要です。

① 糖尿病・心疾患・骨粗鬆症などの全身疾患がある方

これらの疾患は治癒の遅れや感染リスクに影響するため、医科との連携が重要になります。
コントロールが良好であれば、治療が可能なケースも多くあります。

② 服薬内容に注意が必要な方(ビスフォスフォネート系薬剤など)

骨代謝に影響を与える薬剤を服用している場合、インプラント治療にはリスクが伴う可能性があります。
医科医師との情報共有を行い、リスクを評価した上で治療の可否を判断します。

③ 歯周病が進行している方

重度歯周病の場合、歯ぐきや骨の状態によってはすぐにインプラント治療ができない可能性があります。
しかし、適切な歯周治療で環境を整えることで、治療が可能となるケースも少なくありません。

④ 骨量が不足している方

骨が薄い・少ない場合は

  • GBR(骨再生)
  • サイナスリフト
  • ソケットリフト

などの追加処置が必要です。

骨の状態はCT検査で正確に判断できますので、まずは精密検査が必須です。

⑤ タバコを吸う方

喫煙は骨の治癒を遅らせ、インプラントの結合率や長期安定性に影響します。
禁煙または本数を減らすことで、治療成功率を大きく高めることができます。

⑥ 毎日の清掃習慣に不安がある方

インプラント周囲炎は、メンテナンス不足によって起こりやすいため、自宅でのケアや定期検診を継続できるかどうかが重要です。
適切なケアさえ行えば、長期的に安定しやすい治療です。

患者様の状態に合わせた“最適な治療法”を一緒に導くインプラント治療は優れた治療法ですが、一人ひとりの口腔環境・全身状態によって向き不向きがあります。
重要なのは、「インプラントができるか」ではなく、「最善の選択はどれか」を正確に判断することです。
そのために必要なのは、精密検査と丁寧なカウンセリングです。
治療に不安がある方、他院で断られた方でも、一度状態を評価することで新たな選択肢が見つかることがあります。

7.骨が少ない方や難症例への対応(骨造成・再生治療など)

7.骨が少ない方や難症例への対応(骨造成・再生治療など) 7.骨が少ない方や難症例への対応(骨造成・再生治療など)

インプラント治療を希望しても、「骨が薄い」「骨が足りない」「以前インプラントは難しいと言われた」という理由で治療を諦めてしまった方は少なくありません。
しかし、現在の歯科医療では 骨造成(再生治療)や高度技術を組み合わせることで、多くのケースで治療が可能になっています。
本項では、骨が少ない場合や難症例に対して、どのような治療アプローチがあるのかを詳しくご説明します。

【骨が少ない・薄いと言われる理由】

歯を失ったまま放置すると、顎の骨は徐々に吸収されていきます。

  • 歯周病の進行
  • 長期間の欠損放置
  • 外傷や根尖病変
  • 入れ歯による圧迫
  • 先天的な骨量不足

これらが骨が少なくなる主な原因です。
骨量が不足したままインプラントを行うと、固定が弱くなり長期安定が望めないため、まずは 顎骨の状態をCTで立体的に分析することが重要です。

【骨が少ない場合の治療オプション】

東京都目黒駅で精密インプラント治療を行う歯医者・歯科のLOTUS DENTAL CLINIC 東京(ロータスデンタルクリニック東京)では、骨量に合わせて複数の治療法を組み合わせ、インプラント治療の成功率を最大限に高める体制を整えています。

① GBR(骨再生誘導法)

— インプラントを支える“土台”をつくる治療

GBRは、骨が不足している部分に骨補填材を入れ、専用の膜(メンブレン)で保護することで骨の再生を促す方法です。

  • 骨の幅が足りない
  • 骨の高さが低い
  • 部分的にへこみがある

といったケースに効果的です。

GBRはインプラント治療では非常に一般的で、初期段階の骨不足であればこの方法で十分に対応できます。

② サイナスリフト・ソケットリフト

— 上顎奥歯の骨が薄いケースに行う専門的治療
上顎の奥歯は、解剖学的に骨が非常に薄い部位です。
そのため、以下のような処置が必要になることがあります。

ソケットリフト

既存の骨を利用しつつ、上顎洞を「押し上げて」骨の厚みを確保する方法。

サイナスリフト

骨の厚みが極端に少ない場合に、上顎洞の底部を持ち上げて骨を作る治療。
どちらも高度な技術が必要ですが、適切に行うことで インプラントが可能になる確率が大幅に向上 します。

③ ソケットプリザベーション

— 抜歯と同時に骨を守る治療
歯を抜いた直後は、骨が急速に吸収される「骨の萎縮期」。
このタイミングで骨を守る処置を行うことで、将来のインプラントが安全に行えるようになります。

  • 将来的なインプラントを考えている
  • 審美性が重要な部位(前歯)

こういったケースで特に有効な治療法です。

④ 自家骨移植

— 自分の骨を用いることで再生力を最大限に活かす
大量の骨が必要なケースでは、自身の顎骨や下顎枝などから採取した骨を移植する場合もあります。
自分の骨は生着率が高く、大規模な骨再建が必要な際の有力な選択肢です。

⑤ 即時埋入(抜歯即時インプラント)

— 抜歯と同時にインプラントを埋入する高度治療
歯を抜いたその日にインプラントを埋め込む方法です。
骨が痩せる前に処置できるため、

  • 手術回数が少ない
  • 術後の審美性が保ちやすい
  • 治療期間が短くなる

といったメリットがあります。

骨の状態が良好で、感染がないケースに適応されます。

【難症例に対応するために必要な診断体制】

難症例への対応には、正確な診断と綿密な計画が不可欠です。
LOTUS DENTAL CLINIC 東京(ロータスデンタルクリニック東京)では、以下の検査を標準導入しています。

  • 歯科用CT撮影
  • 口腔内スキャナーによる3Dデータ
  • 噛み合わせ解析
  • マイクロスコープ診査
  • 骨密度の局所評価

これらを組み合わせることで、最適な治療方法を科学的根拠に基づいて選択することができます。

【難症例へ取り組む際の基本姿勢】

難症例こそ、「無理にインプラントをする」スタンスではなく、安全性・成功率・長期予後を最優先にします。
そのために、

  • 骨造成とインプラントの同時・分割手術の判断
  • 他部位の噛み合わせ・歯周状態の改善
  • 全身状態の把握
  • リスク説明の徹底

これらを踏まえ、患者様と一緒に治療方針を決めていきます。

8. インプラント治療のリスクと安全性への取り組み

8. インプラント治療のリスクと安全性への取り組み 8. インプラント治療のリスクと安全性への取り組み

インプラント治療は、失った歯を自然に近い状態で回復できる優れた治療法です。しかし、外科処置を伴う医療行為である以上、メリットだけでなく 適切に理解すべきリスク も存在します。
大切なのは、そのリスクを正しく把握し、「いかに安全に治療を行う体制が整っているか」を知ることです。
ここでは、インプラント治療に潜む代表的なリスクと、LOTUS DENTAL CLINIC 東京(ロータスデンタルクリニック東京)が、それらに対してどのように取り組んでいるかを丁寧にご説明します。

【インプラント治療における主なリスク】

① 手術後の腫れ・痛み・内出血

外科処置であるため、術後に腫れや痛みが生じることがあります。
症状は一時的で、多くの場合 3~7日程度で改善しますが、完全にゼロにすることはできません。

② 感染のリスク(インプラント周囲炎)

インプラントの“歯周病”ともいえる状態で、炎症が進むとインプラントの寿命に影響することがあります。
適切なホームケアと定期的なメンテナンスにより、多くは予防可能です。

③ 神経・血管への影響

上顎洞(鼻の奥の空洞)や下顎管(太い神経の通る穴)に近い部位への埋入では、解剖学的リスクを厳密に把握する必要があります。
CTを使った診断が不可欠な理由のひとつです。

④ 骨と結合しない(オッセオインテグレーション不全)

ごく稀に、骨とインプラントが結合しないことがあります。

  • 骨質
  • 生活習慣
  • 術後の負荷

などが影響しますが、適切な対応により再治療が可能です。

⑤ 全身疾患や服薬の影響

糖尿病・心疾患・骨粗鬆症・ビスフォスフォネート服薬などは、治癒に影響する場合があります。
医科と連携しながら慎重に治療計画を立てる必要があります。

【“安全性を最優先”にした取り組み】

インプラント治療のリスクを限りなく低く抑えるために、精密インプラント治療を行う歯医者・歯科のLOTUS DENTAL CLINIC 東京(ロータスデンタルクリニック東京)では、以下の安全対策を徹底しています。

① 全症例でCT撮影と立体解析を実施

— 解剖学的リスクをゼロに近づける
CT撮影によって、

  • 神経の位置
  • 血管の走行
  • 骨の厚み・密度
  • 上顎洞の形態

を正確に把握し、シミュレーション上で「どの角度・深さ・位置に入れるべきか」 を事前に確定させます。
これにより、感覚ではなく 科学的根拠にもとづく安全なオペ が可能になります。

② 3Dサージカルガイドを併用

— 誤差を最小限にした“正確な手術”
必要に応じてオーダーメイドのサージカルガイドを使用し、計画通りの角度・位置でインプラントを埋入します。
ガイドを併用することで、手術の精度が飛躍的に高まり、術後のトラブルや神経損傷のリスクを最大限抑えられます。

③ マイクロスコープ・拡大視野での精密オペ

— 肉眼で見えない領域を“確実に”確認
拡大視野での手術により、

  • 余分な骨の削りすぎを防ぐ
  • 軟組織(歯ぐき)を丁寧に扱う
  • 微細な解剖構造を確認しながら進める

といった高い精度の外科処置が実現します。

これにより術後の痛み・腫れ・合併症のリスクを軽減できます。

④ 国際基準(クラスB)の滅菌体制

— 感染予防を徹底し、術後トラブルを防ぐ
世界的に最も厳しい基準とされるクラスBオートクレーブによる完全滅菌を導入し、感染源となり得る要素を徹底排除しています。
手術器具や治療環境の清潔さは、安全性に直結する最も重要なポイントです。

⑤ 術前の全身管理・医科連携

— 内科疾患がある方も安全に
糖尿病・心疾患・高血圧・骨粗鬆症など、全身疾患を抱える患者様に対しては、必要に応じて医科との連携を行い、安全に治療が進められる状態かを判断します。
無理に手術を行うのではなく、「安全な状態が整っているか」を最優先 に治療計画を立てます。

⑥ 術後フォロー・リカバリー体制の確立

術後の痛み・腫れ・炎症を最小限に抑えるための術後ケア指導を丁寧に行い、必要に応じて早期の経過観察を行います。
万が一気になる症状があった場合にも、早期対応ができる体制を整えています。

CONTACT お問い合わせ
CONTACT

お問い合わせ

東京都目黒駅の歯医者・歯科 LOTUS DENTAL CLINIC東京
各種お問い合わせは下記よりお願いいたします。

ホームページ運営について

LOTUS DENTAL CLINIC東京の公式サイトは、患者さまに正確で信頼性の高い医療情報をお届けすることを目的として運営されています。
当院には、インプラント治療・歯周再生療法・全顎治療・審美歯科など、それぞれの分野で高度な専門知識と臨床経験を持つ歯科医師が在籍しており、すべての情報は歯科医師の監修のもとで作成・公開されています。
医療に関する情報は、正確性と倫理性が求められるものです。
そのため当院では、医療法および厚生労働省が定める「医療広告ガイドライン」を厳格に遵守し、科学的根拠に基づいた情報提供を徹底しています。

ページのトップへ戻る