3つの特徴
東京都の極限まで歯を残す精密根管治療は、
世界水準の「歯の保存治療」を。
大学病院レベルの安全性と設備が整った、
プライベートな個室空間で提供します。
当院では、患者様にとってより安全で、より確実な根管治療を提供すべく、日々研鑽を重ねています。
「抜歯」という診断が下されやすい重度なケースにおいても、私たちは決して諦めません。
大学病院での臨床経験や、国内外の学会での発表・知識のアップデートを通じ、
常に世界水準の歯内療法(Endodontics)を追求し続けています。
ただ治すだけでなく、その歯が一生涯機能し続けるための「質」にこだわった精密根管治療を、ここ東京で提供致します。
- 01
専門性:マイクロスコープ治療の
エキスパートとして「見えない」を「見える」に変える。
マイクロスコープ治療のエキスパートとして、
極限まで歯を残す低侵襲治療を実践。従来の手探りの治療とは一線を画す、マイクロスコープ(歯科用顕微鏡)を駆使した「可視化」された根管治療。 当院では、複雑に湾曲した根管や、肉眼では発見できない微細なヒビ、他院で「治療不可能」とされた難症例に対し、最大20倍以上の拡大視野下でアプローチします。 健康な歯質を削る量を最小限に抑え(Minimal Intervention)、汚染部位のみを徹底的に除去する。それは、外科手術における腹腔鏡手術のように、身体への負担を極限まで減らした「低侵襲な治療」の実践です。
- 02
先進医療への取り組み:
難治性疾患に対する挑戦「抜くしかない」と言われた歯に対する、外科的歯内療法と再生療法。 年間多数の難症例を救ってきた実績と、先進技術の融合。
当院の特長の一つが、通常の根管治療では治癒しない「根尖性歯周炎」や「歯根嚢胞」に対する、外科的アプローチ(歯根端切除術・意図的再植術)です。 マイクロスコープ下で行う精密な外科処置により、病巣のみを確実に摘出し、歯の保存を可能にします。 また、失われた組織を修復するためのMTAセメントを用いた封鎖や、再生療法といった先進的な技術も積極的に導入。保険診療の枠組みを超えた、良好な予後と高い成功率を誇る「歯を残すための選択肢」を豊富に用意しています。
- 03
地域医療への想い:
皆様と共に歩む地域の発展と共に、歯科医療の充実強化を。
「歯を守る拠点クリニック」としての
使命を胸に。私たちは、東京都エリアにおける「歯の保存の最後の砦」としての使命に誇りを持ち、地域医療の重要な基盤となることを目指しています。 「もう抜くしかない」と諦めかけている方、長引く治療に不安を感じている方。 その一本の歯を守り抜くことが、皆様の生涯にわたる健康と生活の質(QOL)を支えることになると信じて。 LOTUS DENTAL CLINIC 東京(ロータスデンタルクリニック東京)は、患者様一人ひとりの人生に寄り添い、共に歩んでまいります。
無料CT / セカンドオピニオン対応
- 1時間の初回予約
- 無料CT診断
- 患者様に合わせた最適な治療提案
「暗闇の手探り」から
「鮮明な可視化」へ。
成功率を左右するのは、
ミクロン単位の感染源を見逃さない「眼」です。
根管治療(歯の神経の治療)は、歯科治療の中で最も繊細かつ高度な技術を要する分野の一つです。 歯の内部にある「根管」は直径1mm以下と非常に狭く、かつ複雑に湾曲した迷宮のような構造をしています。この微細な空間から、汚染された神経や細菌を肉眼だけで完全に取り除くことは、例えるなら「暗闇の中で、手探りで針の穴を探す」ようなもの。 従来の「勘」や「経験」だけに頼る治療では、どうしても感染源の取り残しが生じやすく、それが再発や抜歯の原因となっていました。
だからこそ、LOTUS DENTAL CLINIC 東京(ロータスデンタルクリニック東京)では、歯の解剖学的構造を熟知した高度専門医が、歯科用CTによる科学的根拠(エビデンス)に基づいた診断を行い、マイクロスコープ下で確実な処置を行うこと。 「見えないもの」を「見える」状態にすることこそが、難症例であっても歯を救い、長期的な健康を守るための絶対条件であると私たちは考えています。
なぜ、日本の根管治療は再発が多いのか?
「見えない・菌が入る・時間が足りない」
保険診療の構造的な限界と、
繰り返される再治療のリスク
日本の保険診療における根管治療の成功率は、欧米の専門医と比較して決して高くはありません。その最大の原因は、制度上の制約による「環境の違い」にあります。
多くの保険診療では、唾液の侵入を防ぐ「ラバーダム防湿」が行われず、細菌感染のリスクに晒された状態で治療が進みます。また、肉眼や手探りの治療では、複雑に入り組んだ根の先端にある汚れを完全に取り除くことは困難です。
「とりあえず薬を交換して様子を見る」だけの治療を繰り返しても、根本的な感染源が除去されなければ、病状は静かに進行し、最終的には歯根が割れたり骨が溶けたりして抜歯に至ります。
負の連鎖を断ち切るためには、初回治療の段階から、あるいは再治療の最初の段階から、「細菌を入れない・残さない」ための世界水準のプロトコルで治療を行う必要があります。
なぜ、私たちは「抜かない」ことにこだわるのか
-
01歯の寿命を決める「生命線」
それが歯髄(神経)歯の内部には、「根管(こんかん)」と呼ばれる細い管が通っており、その中には「歯髄」という組織が満たされています。 歯髄は単なる痛みを感じるセンサーではありません。血管を通じて歯の内側から水分や栄養を供給し、歯を硬く丈夫に保つための「心臓部」とも言える極めて重要な器官です。 この歯髄が健全である限り、歯は弾力性を保ち、噛む力に耐え続けることができます。
-
02感染の恐怖
放置すれば「骨」まで溶かす虫歯が重症化し、細菌がこの「歯髄」にまで到達すると、事態は一刻を争います。 細菌に侵された歯髄は激しく炎症を起こし(歯髄炎)、耐え難い痛みや顔面の腫れを引き起こします。 恐ろしいのは、一度感染した歯髄は自然治癒することなく壊死し、腐敗していくという事実です。 放置すれば、細菌は根の先から顎の骨へと侵入し、骨を溶かしながら膿の袋(根尖病巣)を作ります。こうなると、最悪の場合は抜歯を避けられなくなります。
-
03根管治療とは、「歯の救命措置」
汚染された歯髄や細菌を徹底的に除去・消毒し、再び歯として機能させるための治療。それが「根管治療(歯内療法)」です。 しかし、複雑に入り組んだ根管内を肉眼だけで完璧に清掃することは不可能です。 だからこそ当院では、マイクロスコープやラバーダム防湿といった世界水準の設備を完備し、細菌を「見逃さない」「入れない」精密治療によって、かけがえのない天然歯を抜歯の危機から救い出します。
成功率を高める「精密根管治療」のメソッド
科学的根拠に基づき、細菌を徹底的に排除する。
再発なきゴールを目指す治療体制。
東京都の極限まで歯を残す精密根管治療を行う当院の目的は、「根の中の無菌化」と「再感染の防止」
当院では、この当たり前のゴールを確実なものにするために、妥協のない設備と技術を投入しています。
LOTUS DENTAL CLINIC 東京(ロータスデンタルクリニック東京)の治療体制
- 01
マイクロスコープ(歯科用顕微鏡)
肉眼の約20倍の視野で、ミクロン単位の汚れを除去します。手探りの勘に頼る治療から、見て治す治療へ。感染源の取り残しを極限まで防ぎます。
- 02
ラバーダム防湿(無菌的処置)
治療対象の歯以外をゴムのシートで覆います。唾液による細菌汚染を防ぐだけでなく、強力な殺菌薬剤を使用する際の粘膜保護や、器具の誤飲防止の役割も果たします。
- 03
ニッケルチタンファイル
柔軟性に優れた特殊な器具を使用し、湾曲した複雑な根管の形状に沿って、スピーディーかつ確実に汚染された歯質を除去します。
- 04
MTAセメント(組織再生誘導)
治療の最後の詰め物には、強アルカリ性で殺菌作用があり、生体親和性が高い「MTAセメント」を使用します。封鎖性が高く、硬組織の再生を促すため、再発リスクを大幅に低減します。
精密検査による「保存判定」
「抜歯」という診断を下す前に、検証すべきことがあります。
従来の2次元レントゲンでは、重なり合った根の形や、裏側に隠れた病巣の広がりを正確に把握することはできませんでした。
LOTUS DENTAL CLINIC 東京(ロータスデンタルクリニック東京)の治療体制
-
歯科用CT
(三次元画像解析)根の数、湾曲度、病巣の大きさ、骨の溶け具合を3Dで立体的に解析します。難治性の原因がどこにあるのかを特定し、治療の攻略ルートを設計します。
-
マイクロスコープ
による破折診断歯根に亀裂(破折)が入っている場合、通常の治療では治癒しません。マイクロスコープで亀裂の有無や深さを直接確認し、無駄な治療を避けるとともに、接着修復による保存の可能性も探ります。
-
誠実な
診断ポリシー私たちは医学的根拠(エビデンス)に基づき、「その歯を残すことが患者様の利益になるか」をシビアに判定します。無理な延命は推奨せず、インプラントの方が予後が良い場合は正直にお伝えする誠実さを約束します。
「抜歯」を宣告される3つの理由
-
REASON01【医学的限界】 物理的に保存が不可能なケース
~延命が新たなリスクを生む場合~
現代の歯科医療技術をもってしても、どうしても残せない状態は存在します。 例えば、歯の根が垂直に割れている「歯根破折」や、歯を支える骨が周囲を含めて溶けきっている場合などです。これらを無理に残すことは、周囲の健康な骨まで溶かしたり、隣の歯を巻き込んで共倒れになったりするリスクがあります。 当院では、歯科用CTやマイクロスコープによる精密診断の結果、このケースに該当すると判断した場合は、正直に抜歯をお勧めします。それは、患者様の将来の口腔環境を守るための誠実な決断です。
-
REASON02【環境の限界】 「保険診療の制約」による判断
~「見えない・時間がない」が招く抜歯~
日本の保険診療制度は、国民皆保険として素晴らしいシステムですが、根管治療のような高度で緻密な処置においては、「時間」や「使用できる器具・薬剤」に厳しい制限があります。 マイクロスコープやラバーダム防湿を使用せず、肉眼と手探りで行う治療では、複雑な根管の奥にある感染源を取り除くことが困難な場合があります。その結果、「これ以上治療しても治らない(=抜歯)」という判断が下されることが少なくありません。 しかし、これは「歯の寿命」ではなく、「治療環境の限界」です。自由診療による精密治療を行えば、救える可能性は十分にあります。
-
REASON03【方針の相違】 「インプラント優先」という選択肢
~「治療のゴール」が異なる場合~
歯科医師によって、得意とする分野や治療哲学は異なります。 インプラント治療を専門とする医院では、「予後の悪い歯に時間と費用をかけて治療するよりも、抜歯してインプラントにした方が確実で長持ちする」という考え方をすることがあります。これは一つの正解であり、決して間違いではありません。 しかし、私たちLOTUS DENTAL CLINIC 東京(ロータスデンタルクリニック東京)の哲学は異なります。 「生まれ持った天然歯に勝るものはない」 この信念のもと、安易な抜歯・インプラントへの移行は行わず、歯内療法(根管治療)の専門技術を駆使して、ご自身の歯で噛める喜びを守り抜くことに全力を注ぎます。
痛みと不安を取り除く配慮
「根の治療は痛い」
というイメージを変えるために。
静脈内鎮静法と低侵襲アプローチ
再発なきゴールを目指す治療体制。
LOTUS DENTAL CLINIC 東京(ロータスデンタルクリニック東京)の痛みと不安への配慮
静脈内鎮静法(リラックス麻酔)
歯科恐怖症の方や、口を開けているのが辛い方には、点滴による鎮静法を併用します。半分眠ったようなリラックス状態で治療を受けられ、時間の経過も気になりません。
マイクロサージェリー(外科的歯内療法)
通常の根管治療では治らない場合、歯茎を切開して根の先を処置する手術が必要になることがあります。当院ではマイクロスコープを用いた低侵襲手術により、傷口を最小限に抑え、術後の腫れや痛みを軽減します。
治療後の「歯の寿命」を
延ばすために
根管治療は「土台」であり、その上の
「被せ物」と「噛み合わせ」まで
見据えた包括的治療
根管治療が成功しても、その後に被せるクラウン(被せ物)の精度が低く隙間があれば、そこから細菌が侵入し、再び感染を引き起こします(コロナルリーケージ)。
また、噛み合わせのバランスが悪く、過度な力がかかると、脆くなった歯根は割れてしまいます。
LOTUS DENTAL CLINIC 東京(ロータスデンタルクリニック東京)では、根の治療だけでなく、その後の精密な補綴治療(セラミック治療)や、歯を守るための咬合調整までを一貫して行います。
「木を見て森を見ず」にならないよう、口腔内全体のバランスを整え、治療した歯が10年、20年と機能し続ける環境を構築します。
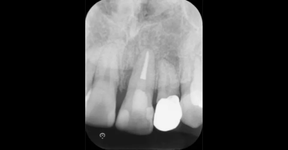
症例紹介
症例1

- 治療名
- 精密根管治療(前歯)
- 患者様
- 50代 男性
- 執刀医
- Dr. 松田
- 治療期間
- 1回
- 治療費
- 88000円
- リスク
- 失活による歯の色調変化、審美障害
症例2

- 治療名
- 精密根管治療(大臼歯)
- 患者様
- 40代 男性
- 執刀医
- Dr. 松田
- 治療期間
- 2回
- 治療費
- 132000円
- リスク
- 術後一過性疼痛の発生
LOTUS DENTAL CLINIC東京は、歯周病治療専門の歯科医院として、歯科治療のイメージを大きく覆すかもしれません。 LOTUS DENTAL CLINIC東京は、精密全顎治療専門外来のクリニックとして、従来の歯科治療の常識を超えた選択肢を提示します。 LOTUS DENTAL CLINIC東京は、高難度のインプラント治療や 歯科治療は、
あなたの「人生の質」そのものを
支える
医療であるべきだと、私たちは考えます。
私たちが提供したいのは、単なる機能の修復ではありません。
その先にある、
「美味しく食事ができる喜び」「人前で思いきり笑える自信」「10年後も健康でいられる安心」
――つまり、患者様の「人生の質(QOL)」そのものを高めることが、私たちの目指す医療のゴールです。
このショート動画では、矢野院長が日々どのような想いで患者様と向き合い、治療計画を立てているのか、その核心に触れていただけます。全顎治療は、
失われた歯を補うだけの治療ではなく、
あなたの「人生の質」そのものを立て直す
医療であるべきだと、私たちは考えます。
私たちが目指すのは、単に噛める状態を回復させることではありません。その先にある、「食事を心から楽しめる喜び」「自然な口元で笑える自信」「10年後、20年後も安心して噛み続けられる未来」――つまり、患者様の生活全体を支える全顎治療こそが、私たちの医療のゴールです。
このショート動画では、矢野院長がどのような想いで全顎治療に向き合い、一人ひとりの人生を見据えた治療計画を立てているのか、その本質に触れていただけます。「インプラントの専門家」が、
精密根管治療にこだわる理由
歯周病治療において多くの実績を持つクリニックです。
しかし、私たちは決して「インプラントありき」の診断はいたしません。むしろ、インプラントという優れた人工歯を知り尽くしているからこそ、「持って生まれた天然歯(ご自身の歯)」の機能的優位性や、そのかけがえのなさを誰よりも深く理解しているからです。
根管治療と歯周組織再生を
融合させた高度専門医
所属学会
- ・日本歯周病学会
- ・日本顕微鏡歯科学会
経歴
- ・新潟大学歯学部卒業
- ・新潟大学医歯学総合病院勤務
- ・新田歯科クリニック勤務
- ・たぶち歯科歯内療法専門院非常勤勤務
- ・日本歯科大学歯周病学講座所属
- ・LOTUS DENTAL CLINICにて勤務
精密根管治療(歯内療法)とは?
それは、歯を抜歯の危機から救う
「最後の砦」です。
精密根管治療とは、重度の虫歯や外傷によって細菌に汚染された「歯髄(神経や血管)」や、根の先に溜まった膿を徹底的に除去し、歯の寿命を延ばすための治療法です。 建物に例えるなら、根管治療は「基礎工事」そのもの。どれほど美しいセラミックの被せ物をしても、その土台となる根の中に感染源が残っていれば、やがて再発し、最終的には抜歯を余儀なくされます。
東京都で極限まで歯を残す精密根管治療を行う当院では、マイクロスコープやCTを用いた世界水準の精密治療により、この「基礎」を強固に再構築し、ご自身の歯を生涯使い続けるための保存治療を提供します。
その違和感、歯からのSOSかもしれません
~「抜かない」ための選択。精密根管治療が必要なサインとは~
「急性期」と「慢性期」。進行ステージ別の危険信号
根管治療が必要となる病態(根尖性歯周炎など)には、激しい痛みを伴う「急性期」と、自覚症状が乏しいまま静かに進行する「慢性期」があります。 どちらも放置すれば顎の骨を溶かし、抜歯へと繋がる危険な状態です。以下の症状に心当たりはありませんか?
1. 急性期の症状(激しい痛み・腫れ)
身体が細菌と激しく戦っている状態で、緊急性の高いサインです。
- 激痛: 何もしなくてもズキズキと脈打つように痛む。
- 睡眠障害: 夜も眠れないほどの強い痛みがある。
- 腫脹: 歯ぐきだけでなく、顔まで腫れ上がっている。
- 咬合痛: 歯が浮いたような感じがし、噛むと激痛が走る。
- 鎮痛剤無効: 痛み止めを飲んでも効果が薄い、または全く効かない。
2. 慢性期の症状(違和感・排膿)
痛みは少ないですが、水面下で骨の破壊が進行している「沈黙」のステージです。
- 繰り返す腫れ: 歯ぐきに「おでき(フィステル)」ができ、腫れたり潰れたりを繰り返す。
- 排膿・口臭: 歯ぐきの穴から膿が出て、嫌な味がしたり口臭が強くなったりする。
- 体調による変化: 普段は平気だが、疲れた時や体調が悪い時にうずくような鈍痛がある。
- 違和感: 歯ぐきを押すと違和感がある、または硬いものを噛むと響く感じがする。
虫歯の進行ステージと治療の分岐点
虫歯の進行度は、医学的に「C1」から「C4」の4段階に分類されます。
初期段階であれば簡単な処置で済みますが、細菌が歯の内部にある「神経(歯髄)」に到達した瞬間から、治療の難易度と重要性は劇的に高まります。
- C1

エナメル質の溶解
(要観察・初期治療) - C2

象牙質の汚染
(修復治療) - C3

歯髄炎
(神経への感染) - C4

歯質崩壊・残根
(保存の限界・
抜歯の危機)
「C3・C4」は、歯を失う直前の危険信号。 未来を変えるのは、感染源を断つ「精密根管治療」です。
LOTUS DENTAL CLINIC 東京(ロータスデンタルクリニック東京)の
「精密根管治療」4つの約束
「抜歯してインプラントにするしかない」と宣告された患者様が、最後にたどり着く場所でありたい。 東京都の極限まで歯を残す精密根管治療を行うLOTUS DENTAL CLINIC 東京(ロータスデンタルクリニック東京)では、世界水準の「精密根管治療」を提供するために、以下の4つを絶対の約束として掲げています。
「再発」と「抜歯」を防ぐために。
大学病院レベルの治療環境をお約束します。
-
Promise01
徹底した「可視化」による
精密除去暗闇の手探り治療は行いません。マイクロスコープ(歯科用顕微鏡)と歯科用CTを駆使し、複雑に入り組んだ根管の奥にある汚染物質や、微細なヒビを見逃さず処置します。
-
Promise02
「ラバーダム防湿」による
無菌的管理根管治療の成功のカギは「細菌を入れないこと」です。治療する歯をゴムの膜で隔離するラバーダム防湿を全症例で実施し、唾液中の細菌侵入を物理的にシャットアウトします。
-
Promise03
最先端の器具
薬剤の使柔軟性が高く根のカーブに追従するニッケルチタンファイルや、殺菌性・封鎖性に優れたMTAセメントなど、保険診療の枠を超えた高性能な材料を使用し、再発リスクを極限まで抑えます。
-
Promise04
誠実なインフォームド
コンセントすべての治療には限界があります。私たちは医学的根拠に基づき、「残せる可能性」と「リスク」を正直にお伝えします。患者様のライフスタイルや価値観を尊重し、無理な延命ではなく、「あなたにとっての最善」を一緒に考える姿勢を貫きます。
精密根管治療を実現するためのフロー
-
STEP 01
精密検査・カウンセリング
CT撮影、マイクロスコープによる診査を行い、病状の原因を特定。「残せるか、抜くべきか」のリスク評価を行い、治療計画を提示します。
-
STEP 02
隔壁形成・感染除去
ラバーダムを装着するための土台(隔壁)を作り、マイクロスコープ下で感染した神経や古い充填剤、汚染物質を徹底的に除去・洗浄します。
-
STEP 03
根管充填(MTAセメント等)1
無菌化された根管内に、再感染を防ぐための薬剤を隙間なく充填します。症例に応じてMTAセメントを使用し、封鎖性を高めます。
-
STEP 04
土台構築・被せ物(補綴)
細菌の侵入を防ぐ精密な土台(ファイバーコア等)を立て、適合精度の高いセラミッククラウンなどを装着し、噛む機能を回復させます。
-
STEP 05
メンテナンス
治療終了後も、定期的なレントゲン撮影や検診を行い、骨の再生状況や再発の有無を長期的に経過観察します。
精密根管治療のプロセス
科学的根拠に基づいた、
再発なきゴールへの「正解ルート」
「診断」の精度が、歯の寿命を決定づけます。根管治療の成否は、実際に手を動かす前の「診査・診断」で9割が決まると言っても過言ではありません。 当院では、初診ですぐに削るようなことはいたしません。まずは患者様のお話を丁寧に伺い、歯科用CT(三次元断層撮影)を用いて、従来のレントゲンでは見えない複雑な根管形態や病巣の広がりを立体的に把握します。さらに、マイクロスコープ(歯科用顕微鏡)で歯の微細な亀裂(マイクロクラック)まで確認し、無駄な治療を回避するとともに、最短ルートでの治癒を目指す治療計画を東京都の極限まで歯を残す精密根管治療を行う当院では立案しています。
-
STEP01
感染源の精密除去(Microscopic Debridement)
~ミクロン単位の汚染を見逃さない~
マイクロスコープの拡大視野下にて、細菌に侵された神経(歯髄)や血管、あるいは過去の治療で取り残された古い充填材などの感染物質を徹底的に除去します。肉眼では見えない微細な汚れまで除去することで、再発の最大の原因である「感染の取り残し」を極限まで防ぎます。
-
STEP02
無菌的洗浄・殺菌(Aseptic Irrigation)
~「ラバーダム防湿」による完全隔離~
治療対象の歯にゴムのシート(ラバーダム)を装着し、唾液中に含まれる無数の細菌の侵入を物理的にシャットアウトします。 無菌的な環境下で高濃度の薬液洗浄を行い、器具が届かない複雑な根管の隅々まで化学的に殺菌し、クリーンな状態を作り上げます。
-
STEP03
組織再生・精密充填(MTA Obturation)
~最先端材料による完全封鎖~
無菌化された根管内に、細菌が再び入り込まないよう隙間なく詰め物を行います。 当院では、殺菌性が高く、硬組織の再生を強力に促す「MTAセメント(バイオセラミックス)」を使用。マイクロスコープ下で緊密に封鎖することで、細菌の侵入経路を断ち、長期的な予後の安定を図ります。
-
STEP04
支台築造・機能回復(Fiber Core Restoration)
~歯根破折を防ぐ、しなやかな土台~
根管治療後は、歯の機能を回復させるために被せ物(クラウン)を装着します。その土台となるコアには、天然歯に近い弾性を持つ「ファイバーコア」を採用。金属製の土台に比べて歯根への負担が少なく、治療後の「歯の割れ(歯根破折)」のリスクを大幅に軽減します。
-
STEP05
予後管理(Prognosis Management)
~「治った」を確認するまでの伴走~
治療終了はゴールではありません。定期的な検診とレントゲン撮影を行い、骨の再生状況や歯周組織の健康状態を長期的にモニタリングします。 生涯をご自身の歯で過ごしていただくために、日々のメンテナンスまで含めたトータルケアを提供します。
精密歯周病治療を実現する
高度設備・快適空間
よくある質問
患者様から寄せられることの多いご質問をまとめました。 ここにない疑問や、より個人的なお悩みについては、初診時のカウンセリングにて時間をかけて丁寧にお答えいたします。
それは「根尖性歯周炎」という病気です。自然治癒はしないため、精密な感染除去が必要です。 根の先に膿が溜まるのは、歯の内部(根管)で繁殖した細菌が、根の先端から顎の骨へと漏れ出し、骨を溶かしている状態(根尖性歯周炎)です。 放置すると抜歯になるリスクが高いですが、諦める必要はありません。当院ではマイクロスコープとCTを駆使し、複雑な根管の奥に潜む感染源を徹底的に除去することで、溶けた骨の再生を促し、歯を保存できる可能性を高めます。
治療中は麻酔で無痛を徹底します。治療後に生じる違和感も、鎮痛剤でコントロール可能です。 当院では、適切な局所麻酔を行い、痛みのない状態で治療を進めますのでご安心ください。 治療後は、細菌がいなくなったことに対する身体の治癒反応として、数日間「浮いた感じ」や「噛んだ時の違和感」が出ることがありますが、これは治っていく過程でよく見られる正常な反応です。鎮痛剤を処方し、痛みの管理(ペインコントロール)もしっかりと行います。
1回の治療時間を長く確保し、通常2~3回での完了を目指します。 一般的な保険診療では1回15分程度の治療を何度も繰り返すことが多いですが、それでは細菌感染のリスクが高まります。 当院の精密根管治療は、1回あたり60分~90分の時間を確保し、ラバーダム防湿下で集中的に治療を行います。効率的に無菌化を進めることで通院回数を減らし、患者様の負担と再発リスクを最小限に抑えます。
医科用CTの約1/10~1/100程度であり、身体への影響は極めて少ないです。 当院で導入している歯科用CT(コーンビームCT)は、非常に低被曝で撮影が可能です。 根管治療において、複雑な根の形態や病巣の広がりを三次元(3D)で正確に把握することは、治療の成功率を飛躍的に高めるために不可欠です。被曝によるわずかなリスクよりも、正確な診断なしに治療を行うリスクの方が遥かに大きいと私たちは考えています。
骨が再生するまでには時間がかかりますが、痛みが続く場合は詳細な再検査を行います。 根の中がきれいになっても、根の先の骨や歯根膜が回復するまでには数ヶ月単位の時間が必要です。その間、違和感が残ることはありますが、徐々に消失していきます。 しかし、痛みが全く引かない場合、未発見の「マイクロクラック(歯の微細なヒビ)」や、噛み合わせの過干渉(咬合性外傷)が疑われます。当院ではマイクロスコープでヒビの有無を精査し、原因を突き止めた上で適切な処置を行います。
歯を「守る環境」を作るために、必要な処置(歯冠長延長術)である可能性があります。 虫歯が歯肉の下深くまで進行している場合、そのままではラバーダム防湿ができず、無菌的な治療が不可能です。また、被せ物をしてもすぐに外れたり、歯周病が悪化したりする原因になります。 当院では、歯周病学の専門知識に基づき、必要に応じて歯肉や骨の形を整える小手術(クラウンレングスニング)を行い、「治療ができる状態」「長持ちする状態」に環境を整えてから根管治療を行います。これも歯を抜かずに残すための重要なテクニックの一つです。
各種クレジットカードや電子マネーでの決済が可能となっています。お支払い方法について
また、デンタルローン会社と提携し、患者様の治療費のお支払いをサポートしております。(最大120回払い)
カウンセリング・ご予約はこちら
精密根管治療専門クリニックの
LOTUS DENTAL CLINIC東京なら、
「抜くしかない」と
諦めかけていたその歯に、
もう一度、命を吹き込むことが
できるかもしれません。





